Гайморит — воспаление гайморовых пазух, вызывающее дискомфорт и ухудшающее качество жизни. Знание его признаков и симптомов поможет вовремя обратиться за медицинской помощью и избежать осложнений. В статье рассмотрим основные проявления гайморита, диагностику и методы лечения, что поможет лучше понять заболевание и принять меры для его профилактики.
Классификация гайморита
В зависимости от степени распространенности заболевания гайморит делится на односторонний и двухсторонний.
С учетом клинического течения выделяют следующие формы:
- острый – проявляется внезапно, сопровождается заложенностью носа и болями в области лица. Эти симптомы могут беспокоить около 10 дней и редко продолжают проявляться дольше месяца.
- полуострый гайморит характеризуется воспалительным процессом, который может длиться около 2 месяцев.
- хроническая форма заболевания проявляется сохранением симптомов более 2 месяцев.
- если гайморит возникает несколько раз в год, это указывает на его рецидивирующую форму.
В зависимости от характера воспаления различают катаральный, аллергический, одонтогенный и гнойный острый гайморит.
По тому же критерию хронический гайморит делится на несколько подвидов:
- Полипозный – характеризуется образованием на слизистых гайморовых пазух мягких разрастаний в виде полипов, которые заполняют полость (см. лечение и симптомы полипов в носу).
- Гиперпластический – приводит к утолщению слизистой оболочки, что может сужать просвет пазухи и отверстие, соединяющее ее с носом.
- Атрофический – вызывает полную атрофию слизистой оболочки, что приводит к утрате ее функций.
- Смешанный тип – отличается наличием на слизистых оболочках очагов различных типов хронического воспаления.
Врачи подчеркивают, что гайморит часто проявляется через ряд характерных симптомов. К основным из них относятся заложенность носа, выделения из носовых ходов, головная боль и повышенная температура. Также стоит обратить внимание на болезненные ощущения в области лица, особенно в верхней челюсти и лобной части. Специалисты акцентируют внимание на том, что своевременная диагностика и лечение имеют решающее значение для предотвращения осложнений.
Лечение гайморита может включать как медикаментозную терапию, так и физиотерапевтические процедуры. Врач может назначить антибиотики при бактериальной инфекции, а также противовоспалительные препараты для облегчения симптомов. В некоторых случаях может потребоваться промывание носовых пазух. Врачи настоятельно рекомендуют не заниматься самолечением и обращаться за медицинской помощью при первых признаках заболевания.
Эксперты в области отоларингологии подчеркивают, что гайморит может проявляться различными симптомами, включая заложенность носа, головную боль, боль в области лица и выделения из носа. Часто пациенты жалуются на повышенную температуру и общее недомогание. Важно отметить, что своевременная диагностика и лечение играют ключевую роль в предотвращении осложнений. Врачами рекомендуется проводить рентгенографию или компьютерную томографию для подтверждения диагноза. Лечение может включать как консервативные методы, такие как применение антибиотиков и противовоспалительных средств, так и хирургические вмешательства в более запущенных случаях. Эксперты акцентируют внимание на необходимости индивидуального подхода к каждому пациенту, учитывая его состояние и сопутствующие заболевания.

Причины возникновения гайморита
К факторам и причинам, которые способны спровоцировать появление гайморита, относят:
- инфекции;
- при заболеваниях верхних дыхательных путей гайморит может возникать как осложнение;
- воспаление гайморовых пазух иногда происходит вследствие хронического тонзиллита и фарингита;
- заболевание может стать результатом воспалительных процессов в корнях зубов, которые располагаются в районе верхнечелюстных пазух;
- затяжной насморк аллергической природы;
- скачки давления в процессе воздушных полетов или ныряния;
- искривленная носовая перегородка или аномальное строение носа;
- наличие в диагнозе кори, аллергии, скарлатины;
- узкие носовые ходы;
- постоянное переохлаждение;
- слабый иммунитет и авитаминоз.
Последние две из перечисленных причин объясняют, почему риск получения гайморита повышается с наступлением осенне-зимнего периода. К появлению хронической формы воспаления гайморовых пазух приводит оставшаяся без должного лечения ОРВИ, а также острый гайморит, который не искоренили полностью.
Поэтому так важно при первых признаках заболевания обращаться к специалистам, не полагаясь на самолечение, и проходить оздоровительный курс до конца, даже если признаки улучшения наступили раньше. Особенностью гайморита является то, что он может начать проявляться спустя дни и даже недели после того, как симптомы вызвавшего его заболевания пройдут.
У детей младше семи лет это заболевание не встречается, поскольку гайморовы пазухи находятся в процессе формирования. В более старшем возрасте гайморит часто вызывают аденоиды (см. как лечить аденоиды ), которые нарушают носовое дыхание и являются источником инфицирования.
| Признак/Симптом | Описание | Лечение |
|---|---|---|
| Заложенность носа | Затрудненное носовое дыхание, ощущение заложенности в носу. | Сосудосуживающие капли/спреи (кратковременно), промывание носа солевым раствором, кортикостероидные спреи (по назначению врача). |
| Гнойные выделения из носа | Густые, желто-зеленые выделения из носа. | Промывание носа, антибиотики (по назначению врача). |
| Боль в области лица | Боль, давление или чувство распирания в области лба, щек, верхней челюсти. | Анальгетики (по назначению врача), тепловые компрессы. |
| Головная боль | Тупая, ноющая головная боль, часто усиливающаяся при наклонах головы. | Анальгетики (по назначению врача), покой. |
| Снижение обоняния и вкуса | Ухудшение способности ощущать запахи и вкусы. | Лечение основного заболевания, в некоторых случаях восстановление происходит само по себе. |
| Лихорадка | Повышение температуры тела. | Жаропонижающие препараты (по назначению врача), обильное питье. |
| Усталость и слабость | Общее недомогание, чувство усталости и слабости. | Покой, достаточный сон, сбалансированное питание. |
| Кашель | Может быть вызван стеканием слизи по задней стенке глотки. | Противокашлевые препараты (по назначению врача), обильное питье. |
Интересные факты
Вот несколько интересных фактов о гайморите:
-
Разнообразие симптомов: Гайморит может проявляться не только классическими симптомами, такими как заложенность носа и головная боль, но и менее очевидными признаками, такими как усталость, плохой сон и даже зубная боль. Это связано с тем, что воспаление может затрагивать близлежащие области, вызывая дискомфорт в других частях лица.
-
Влияние на обоняние: Одним из характерных симптомов гайморита является потеря обоняния. Это происходит из-за отека слизистой оболочки носа и синусов, что затрудняет нормальное восприятие запахов. В некоторых случаях восстановление обоняния может занять длительное время даже после выздоровления.
-
Лечение антибиотиками: Хотя многие случаи гайморита вызваны вирусами и не требуют антибиотиков, при бактериальной инфекции они могут быть необходимы. Однако важно помнить, что неправильное или избыточное использование антибиотиков может привести к развитию устойчивости бактерий, что делает лечение менее эффективным в будущем. Поэтому назначение антибиотиков должно проводиться только врачом на основе клинической картины.

Симптомы гайморита
Первые
признаки гайморита
характеризуются неприятными ощущениями в области верхнечелюстных пазух, которые со временем становятся более выраженными. Обычно утром симптомы проявляются менее интенсивно, а к вечеру их выраженность увеличивается.
Боль может затрагивать как одну, так и обе стороны лица, в зависимости от того, насколько широко распространился воспалительный процесс.
Наиболее распространенные начальные симптомы гайморита:
- ощущение тяжести в голове;
- утрата обоняния;
- болезненные ощущения в области переносицы, лба и около носа, усиливающиеся при наклонах;
- периодическое повышение температуры тела;
- затрудненное носовое дыхание;
- проблемы со сном;
- выделения из носа, содержащие гной и кровяные сгустки.
Если не проводить адекватное лечение гайморита, это может привести к ухудшению памяти и снижению работоспособности.
В некоторых случаях клиническая картина может дополняться отеками век, припухлостью лица, светобоязнью, слезотечением и покраснением глаз. Пациент ощущает слабость, быстро утомляется и может терять аппетит.
При хронической форме
заболевания симптомы гайморита менее выражены:
- постоянный, не поддающийся лечению насморк;
- головные боли и неприятные ощущения в глазницах;
- периодически возникающий конъюнктивит;
- длительный кашель.
Опасность гнойного гайморита заключается в том, что он может привести к инфицированию мозга и воспалению его оболочки – менингиту.
Гайморит представляет собой воспаление гайморовых пазух, и его симптомы могут существенно снизить качество жизни. Многие пациенты отмечают, что основными признаками являются сильные головные боли, заложенность носа и выделения, которые могут быть как прозрачными, так и гнойными. Часто люди жалуются на ощущение давления в области лица и затрудненное дыхание. Лечение гайморита обычно включает противовоспалительные препараты, антибиотики и промывание носа солевыми растворами. Некоторые предпочитают использовать народные методы, такие как ингаляции с эфирными маслами или травами. Однако важно помнить, что самолечение может быть опасным, и при первых признаках заболевания следует обратиться к врачу для получения квалифицированной помощи.
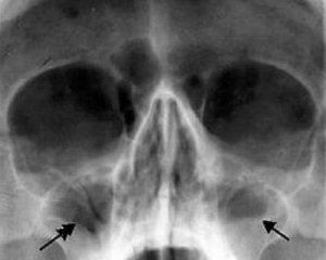
Диагностика
Для выявления гайморита у взрослых используют клинические и параклинические диагностические методы. Окончательный диагноз ставится на основании комплексного обследования больного.
Вот основные этапы диагностики гайморита:
- опрос;
- рентгенография черепной полости;
- компьютерная томография гайморовых пазух;
- диафаноскопия.
Диагностику начинают с опроса о жалобах пациента, его осмотра с целью выявления расширенных сосудов на коже под глазами и отечности, признаков воспаления на слизистой и гнойных выделений из отверстий гайморовых пазух при внутреннем осмотре носа.
Одним из наиболее информативных методов диагностирования заболевания считается пункция верхнечелюстных пазух. В ходе этой процедуры стенка полости прокалывается специальной иглой и отсасывается часть ее содержимого.
Пациенты обычно хорошо переносят пункцию, но ее назначают редко из-за риска таких осложнений как эмфизема щек или глазниц, эмболия сосудов. Если процедура проведена правильно, возможность их появления сведена к минимуму.

Лечение гайморита
Для борьбы с гайморитом чаще всего используют консервативные методы лечения, которые включают как общую, так и местную медикаментозную терапию, а также физиотерапевтические процедуры. В случаях запущенной болезни может потребоваться хирургическое вмешательство.
Основная задача консервативной терапии заключается в уменьшении отека слизистой оболочки гайморовых пазух и обеспечении оттока воспалительного содержимого. Для этого назначают капли и рекомендуют использование ингаляторов, способствующих снятию отеков. Часто эти меры дополняются физиотерапевтическими процедурами.
При гайморите рекомендуется применять антибактериальные, антигистаминные, антиневралгические и жаропонижающие препараты. Эффективными являются также антисептические растворы для промывания.
Пункция может использоваться не только для диагностики, но и для лечения, если после нее проводят промывания специальными растворами, содержащими антисептики и антибиотики.
Хронический гайморит требует применения общеукрепляющих средств и физиотерапии. В качестве лечебной или профилактической меры рекомендуется санация ротовой полости, чтобы предотвратить возникновение инфекции из кариозных зубов.
Хирургическое лечение гайморита включает гайморотомию — операцию по очищению пазух. Благодаря современным эндоскопическим технологиям, такие операции занимают немного времени и проходят с минимальным дискомфортом для пациента.
Последствия гайморита
Гайморит представляет опасность из-за особенностей анатомического размещения и устройства гайморовых пазух с их тонкими стенками, формирующими глазницы и контактирующими с мозговой оболочкой.
Поэтому угроза распространения заболевания всегда актуальна. Это чревато возникновением менингита, энцефалита, воспаления глазного яблока или его оболочки. Такая ситуация может возникнуть при нерациональном лечении, несоблюдении предписаний, самолечении или нежелании врачебного вмешательства.
Помимо этого, гайморит в своей хронической форме выступает как источник инфекции, приводящей к повторным ангинам, фарингитам, заболеваниям зубов. Часто можно наблюдать заполненную гноем закрытую полость, так называемый абсцесс. Острое воспаление гайморовых пазух может привести к невриту тройничного нерва, который вызывает болезненность лицевой поверхности.
Как понять, что у вас гайморит?
Постоянная заложенность носа
Гнойные или слизистые выделения из носовых проходов
Головная боль, особенно при наклонах головы
Чувство давления и дискомфорта в области лба и щек
Повышенная температура тела
Общее ухудшение состояния, слабость
Снижение обоняния или его полная утрата
Неприятный запах из носа или рта
Что лучше всего помогает от гайморита?
ЛЕЧЕНИЕ гнойного гайморита Назначают антибиотики, противовоспалительные препараты, муколитические средства, деконгестанты для улучшения оттока гнойного содержимого из пазухи. Лечение гнойного гайморита без прокола дополняется промываниями носовой полости растворами антисептиков (мирамистин, хлоргексидин и другие).
Каковы начальные симптомы гайморита?
Катаральный гайморит представляет собой начальную фазу заболевания, при которой наблюдается отек слизистой оболочки гайморовой пазухи. Выделения из носа могут быть минимальными или вовсе отсутствовать, а пациент ощущает легкое недомогание.
Что можно спутать с гайморитом?
Гайморит сложно спутать с другими заболеваниями носовой полости: сильные головные боли, повышение температуры тела, заложенный нос, из которого выделяется желто-зеленая масса с неприятным запахом, отеки со стороны пораженной пазухи, сухой раздражающий кашель, резь в глазах, конъюнктивит говорят о наступлении острой
Профилактика гайморита
Профилактика гайморита играет ключевую роль в снижении риска развития этого заболевания и его рецидивов. Основные меры, направленные на предотвращение гайморита, включают в себя следующие аспекты:
- Укрепление иммунной системы: Здоровый образ жизни, включающий сбалансированное питание, регулярные физические нагрузки и достаточный сон, способствует укреплению иммунитета. Витамины, особенно витамин C, и минералы, такие как цинк, могут помочь организму лучше справляться с инфекциями.
- Своевременное лечение простудных заболеваний: Вирусные и бактериальные инфекции верхних дыхательных путей могут привести к воспалению слизистой оболочки носа и синусов. Важно не игнорировать симптомы простуды и гриппа, а обращаться к врачу для назначения адекватного лечения.
- Избегание аллергенов: Аллергические реакции могут способствовать развитию гайморита. Если у вас есть известные аллергии, старайтесь избегать контакта с аллергенами, такими как пыльца, пыль, шерсть животных и т.д. Антигистаминные препараты могут помочь в контроле аллергических реакций.
- Поддержание чистоты в доме: Регулярная уборка и проветривание помещений помогают снизить уровень аллергенов и патогенов в воздухе. Использование увлажнителей воздуха может помочь поддерживать оптимальный уровень влажности, что также способствует здоровью дыхательных путей.
- Отказ от курения: Курение и пассивное курение негативно влияют на здоровье дыхательных путей, увеличивая риск развития инфекций и воспалений. Отказ от курения может значительно снизить вероятность возникновения гайморита.
- Регулярные медицинские осмотры: Периодические визиты к врачу для проверки состояния здоровья, особенно при наличии хронических заболеваний, могут помочь в раннем выявлении и лечении проблем, которые могут привести к гаймориту.
- Соблюдение гигиенических норм: Мытье рук с мылом, особенно после посещения общественных мест, помогает предотвратить распространение инфекций. Также рекомендуется избегать близкого контакта с людьми, у которых есть симптомы простуды или гриппа.
Следуя этим рекомендациям, можно значительно снизить риск развития гайморита и сохранить здоровье дыхательных путей. Важно помнить, что профилактика всегда проще и эффективнее, чем лечение уже возникшего заболевания.
Вопрос-ответ
Каковы основные симптомы гайморита?
Основные симптомы гайморита включают боль и давление в области лица, особенно в области щек и лба, затрудненное дыхание через нос, выделения из носа (может быть гнойными), головную боль, а также возможную лихорадку и общее недомогание.
Какие методы лечения гайморита наиболее эффективны?
Эффективные методы лечения гайморита могут включать использование антибиотиков при бактериальной инфекции, противовоспалительных средств, а также промывание носа солевыми растворами. В некоторых случаях может потребоваться хирургическое вмешательство для дренирования пазух.
Как предотвратить развитие гайморита?
Для предотвращения гайморита рекомендуется избегать простуд и аллергий, поддерживать иммунную систему, регулярно проводить гигиену носа, а также своевременно лечить инфекции верхних дыхательных путей.
Советы
СОВЕТ №1
При первых признаках гайморита, таких как заложенность носа, головная боль и выделения из носа, не откладывайте визит к врачу. Раннее обращение поможет избежать осложнений и ускорит процесс выздоровления.
СОВЕТ №2
Используйте ингаляции с эфирными маслами или травяными отварами для облегчения дыхания и уменьшения воспаления. Это может помочь снять симптомы и улучшить общее состояние.
СОВЕТ №3
Обратите внимание на режим питья. Увлажнение организма способствует разжижению слизи и облегчает её выведение. Пейте больше теплых напитков, таких как травяные чаи или бульоны.
СОВЕТ №4
Не забывайте о профилактике. Укрепляйте иммунитет, избегайте переохлаждения и следите за состоянием зубов, так как инфекции из зубов могут привести к гаймориту.

