Пневмония — воспаление легких, опасное для здоровья, особенно у взрослых. Знание симптомов позволяет вовремя обратиться за медицинской помощью и избежать осложнений. В статье рассмотрим основные признаки пневмонии, методы диагностики и лечения, что поможет распознать заболевание и предпринять необходимые шаги для его лечения.
Причины и факторы риска
Основной причиной возникновения пневмонии является негативное воздействие на легкие человека различных патогенных микроорганизмов, таких как стрептококки, пневмококки, стафилококки, вирусы, хламидии, легионеллы и другие.
Бактерии и вирусы чаще всего проникают в легкие воздушно-капельным путем, реже — через медицинские процедуры, кровь или лимфу. Здоровый человек с нормальными защитными функциями организма способен эффективно противостоять инфекциям. Однако при развитии заболевания сначала может возникнуть острый бронхит или бронхиолит.
Если не предпринять меры по лечению, инфекция может распространиться на легочную ткань, что и приводит к пневмонии. При воспалении легких альвеолы, отвечающие за насыщение капилляров кислородом, заполняются жидкостью, что значительно затрудняет или полностью блокирует газообмен. В результате этого развивается кислородная и дыхательная недостаточность.
Как уже упоминалось, здоровый человек способен противостоять вирусам и инфекциям. Риск инфицирования и последующего развития пневмонии возрастает у детей, пожилых людей и лиц с ослабленным иммунитетом.
Существуют также факторы, способствующие развитию пневмонии, которые можно выделить как факторы риска:
- переохлаждение организма, активирующее патогенные микроорганизмы;
- хронические заболевания носоглотки;
- состояния иммунодефицита;
- хронические болезни легких;
- сердечная недостаточность и приобретенные пороки сердца;
- эндокринные заболевания;
- прием медикаментов, угнетающих иммунитет;
- хирургические и диагностические вмешательства;
- курение;
- пожилой возраст.
Также существует врожденная пневмония, которая может проявляться у новорожденных. Обычно такое инфицирование происходит внутриутробно в результате преждевременных родов или заболеваний, перенесенных матерью.
Врачи отмечают, что у взрослых пневмония часто проявляется такими симптомами, как кашель, одышка, высокая температура и общая слабость. Важно понимать, что проявления могут различаться в зависимости от возраста и состояния здоровья пациента. Специалисты подчеркивают необходимость своевременной диагностики, так как запущенные случаи могут привести к серьезным осложнениям. Лечение пневмонии обычно включает антибиотики, которые подбираются в зависимости от возбудителя инфекции. Врачи также рекомендуют поддерживающую терапию, такую как обильное питье и отдых. Важно, чтобы пациенты не игнорировали симптомы и обращались за медицинской помощью при первых признаках заболевания. Регулярные осмотры и вакцинация могут значительно снизить риск развития пневмонии.
Эксперты в области медицины подчеркивают, что пневмония у взрослых может проявляться разнообразными симптомами, включая кашель, одышку, высокую температуру и общую слабость. Важно отметить, что у пожилых людей и пациентов с ослабленным иммунитетом симптомы могут быть менее выраженными, что затрудняет диагностику. Лечение пневмонии, как правило, включает антибиотики, которые подбираются в зависимости от возбудителя инфекции. В некоторых случаях может потребоваться госпитализация, особенно при тяжелом течении заболевания. В дополнение к медикаментозной терапии, эксперты рекомендуют поддерживать адекватный уровень гидратации и применять методы физиотерапии для улучшения дыхательной функции. Раннее обращение за медицинской помощью и соблюдение рекомендаций врачей значительно повышают шансы на быстрое выздоровление.

Симптомы пневмонии у взрослых
Каждый вид пневмонии отмечается своими специфическими симптомами, но, тем не менее, есть общие клинические проявления заболевания. У взрослого, страдающего пневмонией, наблюдается слабость и повышенная утомляемость, что приводит к постоянной сонливости.
Работоспособность больного резко снижается и не восстанавливается до тех пор, пока лечение не окажет должного эффекта. Возможно нарушение сна из-за общего плохого самочувствия, а также очень часто наблюдается снижение аппетита или полное его отсутствие, что не дает больному возможности восстанавливать потраченные силы.
Повышение температуры тела — общий симптом для всех форм пневмоний. Температура держится в пределах 38.5-40.0 °C, что довольно сильно подрывает самочувствие человека. На фоне такого состояния возможно появление потливости, озноба и спутанности сознания.
Практически с первых дней заболевания развивается сильный кашель. Он может быть сухим, что является признаком атипичной пневмонии, но чаще всего кашель «мокрый», то есть с обильным отделением гнойной мокроты зеленого или ржавого цвета.
Одышка появляется, когда легкие начинают заполняться жидкостью. Человека преследует ощущение «нехватки воздуха», которое особенно заметно при повседневных нагрузках, например, при ходьбе или подъеме по лестнице. На фоне нехватки воздуха возможно учащение дыхания и сердцебиения.
Нередко появляется боль в груди, которая может отдавать в живот или спину.
Иногда возникают дополнительные симптомы пневмонии у взрослых, как например: боли в горле, насморк, отиты, боли со стороны почек, головные боли, рвота, диарея, проявления герпеса, боли в мышцах и суставах. Возникновение дополнительных симптомов связано с интоксикацией организма или присоединением вторичной инфекции на фоне снижения иммунитета человека.
Таким образом, можно выделить несколько первых признаков, характерных для пневмонии (воспаления легких), а именно:
- сильный кашель;
- высокая температура, лихорадка;
- боль в груди;
- одышка.
Наличие вышеописанных признаков у человека может свидетельствовать о развитии у него пневмонии, что требует скорейшей диагностики.
| Симптом | Тяжесть симптома | Возможные методы лечения |
|---|---|---|
| Кашель (может быть сухим или с мокротой) | От легкого покашливания до сильного, изнурительного кашля | Отхаркивающие средства, муколитики, ингаляции, подавление кашля (при необходимости) |
| Лихорадка | От субфебрильной температуры до высокой температуры (выше 38°C) | Жаропонижающие средства (парацетамол, ибупрофен), обильное питье |
| Одышка | От легкой одышки до выраженной дыхательной недостаточности | Кислородная терапия, бронходилататоры, в тяжелых случаях – искусственная вентиляция легких |
| Боль в груди | От незначительной боли до сильной боли, усиливающейся при дыхании | Анальгетики, противовоспалительные средства |
| Слабость, утомляемость | От легкой усталости до выраженной слабости и истощения | Постельный режим, достаточный отдых, сбалансированное питание |
| Головная боль | От легкой до сильной головной боли | Анальгетики |
| Мышечные боли | От легких до сильных болей | Анальгетики, противовоспалительные средства |
| Тошнота, рвота | От легкой тошноты до сильной рвоты | Противорвотные средства, диета |
| Потеря аппетита | Снижение аппетита | Сбалансированное питание, дробное питание |
| Цианоз (синюшность кожи) | От незначительного до выраженного цианоза | Кислородная терапия, лечение основного заболевания |
Интересные факты
Вот несколько интересных фактов о симптомах и лечении пневмонии у взрослых:
-
Разнообразие симптомов: Пневмония может проявляться различными симптомами, которые могут варьироваться от легких до тяжелых. Классические симптомы включают кашель, одышку, боль в груди и лихорадку, но у пожилых людей и людей с ослабленным иммунитетом симптомы могут быть менее выраженными, иногда проявляясь только в виде спутанности сознания или общей слабости.
-
Влияние вакцин: Вакцинация против пневмококка и гриппа значительно снижает риск развития пневмонии. Пневмококковая вакцина помогает предотвратить инфекцию, вызванную Streptococcus pneumoniae, одним из наиболее распространенных возбудителей пневмонии. Вакцинация особенно важна для пожилых людей и людей с хроническими заболеваниями.
-
Лечение антибиотиками: Лечение пневмонии обычно включает антибиотики, однако выбор препарата зависит от типа возбудителя. Важно, что не все случаи пневмонии вызваны бактериями; вирусные и грибковые инфекции также могут быть причиной, и в таких случаях антибиотики неэффективны. Поэтому правильная диагностика и определение возбудителя имеют решающее значение для успешного лечения.

Диагностика пневмонии
При подозрении на пневмонию необходимо незамедлительно обратиться к врачу. Специалист проведет тщательное обследование, которое включает сбор анамнеза и осмотр, в ходе которого будет прослушано дыхание с помощью стетоскопа для выявления хрипов. На основании полученной информации врач сможет назначить соответствующее лечение.
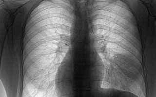
Чаще всего для подтверждения диагноза требуются результаты общего и биохимического анализов крови, которые помогут выявить воспалительный процесс и оценить общее состояние пациента. Рентгенография грудной клетки также играет важную роль в диагностике, так как позволяет визуализировать патологические изменения в легких и подтвердить наличие пневмонии.
Если заболевание протекает в тяжелой форме или не наблюдается улучшения от лечения, может потребоваться проведение дополнительных диагностических процедур, таких как:
- компьютерная томография грудной клетки;
- посев крови для определения возбудителя инфекции;
- бронхоскопия;
- биопсия легкого.
Даже в сложных случаях пневмонии перечисленных методов диагностики достаточно для точного определения заболевания и назначения необходимого лечения.
Пневмония — это серьезное заболевание, и многие пациенты делятся своими переживаниями о симптомах и процессе лечения. Обычно первые признаки болезни напоминают простуду: кашель, усталость, повышение температуры. Однако со временем симптомы могут усиливаться, добавляются одышка, сильные боли в груди и мокрота при кашле. Люди подчеркивают, насколько важна своевременная диагностика, так как запущенная пневмония может привести к серьезным последствиям.
Что касается лечения, многие отмечают, что антибиотики являются основным средством борьбы с инфекцией. Однако важно помнить о необходимости соблюдения постельного режима, употребления достаточного количества жидкости и правильного питания. Некоторые пациенты делятся своим опытом применения физиотерапии и ингаляций для улучшения состояния. Важно помнить, что самолечение может быть опасным, и лучше всего обращаться к врачу при первых признаках заболевания.
Лечение пневмонии
Лечение пневмонии у взрослых всегда подразумевает прием антибиотиков. Выбор антибиотиков зависит от микроорганизмов, вызвавших воспаление легких. В случае присоединения вторичной инфекции возможно назначение дополнительных антибиотиков с учетом поддерживающей микрофлору желудочно-кишечного тракта терапии.
При наличии продуктивного кашля, то есть кашля с отхождением мокроты, назначают препараты, которые разжижают мокроту и помогают ее отхаркивать. Если у больного из-за пневмонии развилась одышка или затруднение дыхания, то используют бронхорасширяющие препараты.
Помимо вышеперечисленного, адекватным на фоне противобактериальной терапии будет назначение иммуномодулирующих препаратов, которые восстановят защитные силы организма. Очень часто используется физиотерапия, направленная на лечение легких.
Так как пневмония является тяжелым состоянием для организма, человеку в большинстве случаев требуется симптоматическая терапия, которая позволяет убрать основные и дополнительные симптомы заболевания, что облегчает состояние больного. Кроме того, может понадобиться дезинтоксикационное лечение.

Прогноз
Прогноз по поводу пневмонии во многом определяется возрастом пациента, его общим состоянием здоровья, временем, когда была оказана медицинская помощь, а также наличием сопутствующих заболеваний и другими факторами.
Тем не менее, в большинстве ситуаций, при адекватном лечении, прогноз оказывается положительным. К сожалению, в некоторых случаях существует риск возникновения серьезных осложнений, связанных с воспалением легких.
Возможные последствия недолеченной пневмонии
Появление осложнений практически всегда связано с поздним обращением человека за врачебной помощью.
Самыми распространенными осложнениями считаются:
- воспаление плевры;
- абсцесс легкого;
- острая дыхательная недостаточность;
- сепсис вследствие интоксикации организма;
- анемия;
- миокардит (воспаление сердечной мышцы), эндокардит (воспаление внутренних тканей сердца);
- менингит (воспаление мозговых оболочек), энцефалит (воспаление тканей мозга).
Кроме того, осложнения могут возникнуть при нормальном течении заболевания на фоне пожилого возраста или при иммунодефиците (у больных ВИЧ-инфекцией, при аутоиммунных и онкологических заболеваний и т.д.).
Все вышеперечисленные осложнения возможно избежать при своевременном обращении к врачу, который назначит эффективное лечение.
Профилактические меры при пневмонии
К мерам профилактики, способствующим защите от пневмонии, относятся:
- предотвращение переохлаждения, которое может способствовать размножению патогенных микроорганизмов;
- своевременное лечение простудных заболеваний (узнайте, как лечить ОРВИ);
- отказ от курения;
- осуществление мероприятий, направленных на укрепление иммунной системы;
- минимизация контактов с больными людьми.
Все перечисленные меры доступны каждому и помогут существенно снизить вероятность развития пневмонии.
В качестве профилактического средства рекомендуется вакцинация против наиболее распространенного типа пневмонии — пневмококковой. Вакцинация обязательно показана людям старше 65 лет, а также тем, кто страдает хроническими заболеваниями сердца, легких или иммунодефицитом.
Каждый желающий может пройти вакцинацию, причем оптимальным временем для этого считается период с сентября по середину ноября. После этого времени вакцинацию проводить не рекомендуется, так как существует высокая вероятность, что в зимний период иммунный ответ на вакцину будет недостаточным.
Эффективность вакцинации подтверждена как исследованиями, так и практическим опытом. Например, в закрытых коллективах (таких как трудовые группы или армия) частота случаев пневмонии после вакцинации снижается в три раза. Вакцина обеспечивает защиту не только от пневмонии, но и от острых бронхитов и отитов.
Как понять, что у тебя начинается пневмония?
Боль в боку при глубоком вдохе, одышка и потливость при минимальной физической нагрузке, кашель с мокротой слизистого или слизисто-гнойного характера, слабость и повышенная утомляемость, головная боль, повышенная температура тела, боль в суставах и мышцах, пониженное артериальное давление,
Что назначают при пневмонии у взрослого человека?
Для терапии воспалительных заболеваний легких применяются кларитромицин (торговые названия «Клацид», «Кларитромицин-Тева», «Фромилид») и азитромицин (известные препараты «Азитрал», «Сумамед», «Азитрокс»). Препарат «Азитрал» доступен в форме таблеток с дозировкой для взрослых 250 или 500 мг. Его рекомендуется принимать один раз в день за два часа до или после еды.
Можно ли пневмонию у взрослого лечить дома?
Вне зависимости от причины, пневмония – серьезная болезнь, которую нельзя пытаться лечить самостоятельно.
Как выглядит начальная стадия пневмонии?
Начальные симптомы повреждения легочной ткани включают кашель, хрипы, учащенное дыхание, одышку как в состоянии покоя, так и при небольшой физической активности, синеву в области носогубного треугольника и на ногтях, а также бледность кожи и снижение уровня кислорода в крови (сатурация).
Роль вакцинации в профилактике пневмонии
Вакцинация играет ключевую роль в профилактике пневмонии, особенно у групп риска, таких как пожилые люди, люди с хроническими заболеваниями и ослабленной иммунной системой. Существуют различные вакцины, направленные на предотвращение инфекций, которые могут привести к пневмонии, включая вакцины против пневмококка и гриппа.
Пневмококковая инфекция является одной из основных причин бактериальной пневмонии. Вакцинация против пневмококка может значительно снизить риск развития пневмонии, особенно у людей старше 65 лет и у тех, кто страдает от хронических заболеваний, таких как диабет или заболевания легких. Существуют две основные формы пневмококковых вакцин: полисахаридная вакцина (PPSV23) и конъюгированная вакцина (PCV13). Первая защищает от 23 серотипов пневмококков, в то время как вторая — от 13 серотипов и рекомендуется для детей и взрослых с ослабленным иммунитетом.
Вакцинация против гриппа также имеет важное значение в профилактике пневмонии, так как грипп может привести к вторичным бактериальным инфекциям, включая пневмонию. Гриппозная вакцина помогает снизить вероятность заболевания гриппом и, следовательно, уменьшает риск развития пневмонии, связанной с этим вирусом. Вакцинация рекомендуется ежегодно, особенно для людей в группах риска.
Важно отметить, что вакцинация не только защищает отдельных людей, но и способствует формированию коллективного иммунитета, что снижает распространение инфекций в обществе. Это особенно актуально в условиях пандемий и эпидемий, когда высокая заболеваемость может привести к значительным нагрузкам на систему здравоохранения.
Перед вакцинацией рекомендуется проконсультироваться с врачом, который поможет определить необходимость вакцинации, учитывая индивидуальные факторы риска и состояние здоровья пациента. Вакцинация является безопасной и эффективной мерой профилактики, которая может значительно снизить заболеваемость и смертность от пневмонии.
Вопрос-ответ
Какие основные симптомы пневмонии у взрослых?
Основные симптомы пневмонии у взрослых включают кашель (часто с выделением мокроты), одышку, боль в груди, лихорадку, озноб и усталость. Также могут наблюдаться головная боль, мышечные боли и общее недомогание.
Как диагностируется пневмония у взрослых?
Диагностика пневмонии обычно включает физический осмотр, прослушивание легких с помощью стетоскопа, рентгенографию грудной клетки и анализы крови. В некоторых случаях может потребоваться компьютерная томография или анализ мокроты для определения возбудителя инфекции.
Какое лечение рекомендуется при пневмонии у взрослых?
Лечение пневмонии зависит от ее причины и тяжести. Обычно назначаются антибиотики для борьбы с бактериальной инфекцией, а также могут быть рекомендованы противовоспалительные препараты и средства для облегчения симптомов. Важно также соблюдать постельный режим и пить много жидкости. В тяжелых случаях может потребоваться госпитализация.
Советы
СОВЕТ №1
Обратите внимание на ранние симптомы пневмонии, такие как кашель, одышка, высокая температура и общая слабость. Если вы заметили их у себя или у близких, не откладывайте визит к врачу, так как ранняя диагностика значительно увеличивает шансы на быстрое выздоровление.
СОВЕТ №2
Следуйте рекомендациям врача по лечению, включая прием назначенных антибиотиков и других медикаментов. Не прекращайте курс лечения преждевременно, даже если симптомы начинают исчезать, чтобы избежать рецидива заболевания.
СОВЕТ №3
Обеспечьте себе достаточный отдых и пейте много жидкости. Это поможет вашему организму справиться с инфекцией и ускорит процесс выздоровления. Теплые напитки, такие как чай с медом или бульон, могут облегчить симптомы и поддержать иммунную систему.
СОВЕТ №4
После выздоровления не забывайте о профилактике. Вакцинация против пневмококковой инфекции и гриппа может снизить риск повторного заболевания. Также старайтесь вести здоровый образ жизни, включая сбалансированное питание и регулярные физические нагрузки.

