Абсцесс легкого — гнойное воспаление легочной ткани, возникающее из-за инфекций, травм или осложнений других заболеваний. Это серьезное состояние, требующее быстрой диагностики и лечения, так как может привести к опасным осложнениям. В статье рассмотрим основные симптомы абсцесса легкого, методы диагностики и современные подходы к лечению, что поможет читателям лучше понять заболевание и вовремя обратиться за медицинской помощью.
Симптомы абсцесса легкого
Чаще всего данная патология наблюдается у мужчин в возрасте от 20 до 50 лет. Заболевание преимущественно затрагивает правое легкое, так как оно больше по размеру, чем левое. Локализация может быть разнообразной, однако чаще всего абсцесс формируется в верхних отделах легких.
Клинические
симптомы абсцесса легкого
зависят от стадии развития заболевания. На начальном этапе, когда происходит гнойная инфильтрация и распад легочной ткани, связь с бронхом отсутствует. Симптоматика напоминает тяжелую пневмонию: общее состояние пациента ухудшается, наблюдается высокая температура и кашель.
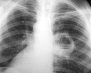
При постукивании над областью абсцесса звук будет приглушенным, а дыхание в этом участке ослаблено. Пораженная сторона вызывает болевые ощущения при дыхании, а рентгенологическое исследование покажет ограниченную тень с различной интенсивностью и размерами.
В течение 4-10 дней симптомы абсцесса легкого усиливаются, и лишь затем происходит прорыв гноя в бронх. Это указывает на начало второй стадии, которая характеризуется кашлем и выделением значительного объема (от 200 до 800 миллилитров) мокроты с неприятным запахом. Под микроскопом в мокроте можно обнаружить большое количество лейкоцитов, эритроцитов, клеточного детрита (разрушенные клетки тканей), а также бактерии и эластические волокна.
Если в полости преобладают некротизированные ткани, мокрота становится особенно зловонной и может содержать кровь, если процесс затрагивает сосуды. Содержимое полости может разделяться на три слоя: внизу находится гной и распавшиеся ткани, в среднем слое — желтоватая прозрачная жидкость, а сверху — пенистая субстанция. Гнойник может прорваться, и его содержимое вытечет через бронх. Дальнейшая клиническая картина будет зависеть от степени опорожнения полости, состояния иммунной системы и выбранной тактики лечения.
Существует группа людей, у которых процессы регенерации происходят медленно. В таких случаях полость не полностью очищается от гноя, и ее спадение происходит плохо. Это может привести к хроническому абсцессу легкого.
Такое состояние имеет свои клинические проявления и методы лечения. Следует отметить, что прорыв острого абсцесса может произойти не только в бронх, но и в плевральную полость. Осложнением такого прорыва может стать острый пневмоторакс, который может «замаскировать» истинное заболевание и впоследствии привести к эмпиеме плевры (скопление гноя в плевральной полости).
У ослабленных пациентов, особенно при наличии высоковирулентной флоры и плохом опорожнении гнойника, абсцесс может прогрессировать. Вовлекаются новые участки легкого, зона некроза увеличивается, образуются новые участки абсцедирования. Клиническая картина ухудшается, пациента беспокоят озноб, обильное потоотделение, общее состояние становится тяжелым, страдают сердце, почки и печень. В таких случаях возможен летальный исход.
Острый абсцесс может протекать в легкой, средней или тяжелой форме. Легкая форма характеризуется наличием одиночной полости и незначительной реакцией по периферии на рентгеновском снимке, где четко виден уровень жидкости. Такой абсцесс формируется в течение 8-10 дней, и после его опорожнения наступает полное выздоровление.
Средняя степень тяжести проявляется наличием одиночной полости абсцесса, окруженной значительной зоной пристеночной реакции. Формирование абсцесса происходит медленно на фоне длительной пневмонии. После прорыва полость плохо дренируется, температура снижается нестабильно, часто происходят обострения. Рентгенологическая динамика наблюдается медленно, выздоровление наступает редко, чаще абсцесс переходит в хроническую форму.
Тяжелая форма приводит к выраженной интоксикации, нарушению работы сердца, печени и почек. Легочная ткань инфильтрирована, полость долго не образуется, температура остается высокой. Объем выделяемой мокроты постоянно увеличивается. На фоне массивной инфильтрации формируется множество мелких полостей. В таких случаях требуется только хирургическое вмешательство.
Абсцесс легкого представляет собой локализованное скопление гноя в легочной ткани, возникающее в результате инфекции. Врачи отмечают, что основными симптомами данного состояния являются высокая температура, кашель с гнойной мокротой, одышка и боли в грудной клетке. При отсутствии своевременного лечения абсцесс может привести к серьезным осложнениям, таким как сепсис или дыхательная недостаточность.
Лечение абсцесса легкого обычно включает антибиотикотерапию, направленную на устранение инфекции. В некоторых случаях может потребоваться дренирование абсцесса для удаления гноя. Врачи подчеркивают важность ранней диагностики и комплексного подхода к лечению, чтобы избежать серьезных последствий для здоровья пациента. Регулярные обследования и внимательное отношение к симптомам помогут предотвратить развитие этого опасного состояния.
Абсцесс легкого представляет собой ограниченное скопление гноя в легочной ткани, возникающее в результате инфекционного процесса. Эксперты отмечают, что основными симптомами данного состояния являются высокая температура, кашель с гнойной мокротой, одышка и боль в груди. Важно отметить, что абсцесс может развиваться на фоне пневмонии, бронхита или других легочных заболеваний.
Лечение абсцесса легкого требует комплексного подхода. В большинстве случаев назначаются антибиотики, которые помогают справиться с инфекцией. В тяжелых случаях может потребоваться дренирование абсцесса или даже хирургическое вмешательство. Специалисты подчеркивают, что ранняя диагностика и адекватное лечение играют ключевую роль в успешном выздоровлении пациента. Регулярные медицинские осмотры и внимание к симптомам могут значительно снизить риск осложнений.

Диагностика абсцесса легкого
Диагностика абсцесса легкого до его прорыва представляет определенные трудности, ведь его не сложно перепутать с пневмонией.
Человека беспокоят кашель с выделением мокроты, боль в груди, которые усиливаются при вовлечении в процесс плевры. Температура сопровождается колебаниями в утренние и вечерние часы и сопровождаемая профузным потоотделением.
Изменяется также и анализ крови, в котором увеличивается показатель лейкоцитов, нейтрофилов и ускоряется скорость оседания эритроцитов (СОЭ). Также человека должен обследовать врач, который сделав рентгеновский снимок, сможет поставить правильный диагноз.
Когда произошел прорыв, задача облегчается, ведь человек может выделять мокроту «полным ртом», особенно при перемене положения тела (например если лечь на бок). На рентгеновском снимке все выглядит как полость с уровнем жидкости и слоем газа над ней.
| Симптом | Возможная причина (связанная с абсцессом легкого) | Рекомендации |
|---|---|---|
| Высокая температура (лихорадка) | Инфекция, вызванная бактериями, грибами или другими патогенами в абсцессе. | Немедленно обратитесь к врачу. |
| Кашель с мокротой (иногда с гноем или кровью) | Разрушение легочной ткани и выделение инфицированного материала. | Соблюдайте постельный режим, пейте много жидкости. |
| Боль в груди | Воспаление и давление абсцесса на окружающие ткани. | Принимайте обезболивающие препараты, назначенные врачом. |
| Одышка | Накопление жидкости и воспаление в легких, затрудняющие дыхание. | Избегайте физических нагрузок. |
| Утомляемость и слабость | Интоксикация организма продуктами жизнедеятельности бактерий. | Отдыхайте, избегайте стресса. |
| Потеря веса | Потеря аппетита и истощение организма из-за инфекции. | Сбалансированное питание, консультация диетолога. |
| Ночная потливость | Системный воспалительный ответ организма. | Соблюдение гигиены. |
| Хрипы в легких (при аускультации) | Наличие воспалительного процесса и жидкости в бронхах. | Обращение к врачу для диагностики и лечения. |
Интересные факты
Вот несколько интересных фактов об абсцессе легкого:
-
Причины возникновения: Абсцесс легкого часто возникает как осложнение пневмонии, особенно вызванной анаэробными бактериями, которые могут попадать в легкие из ротовой полости. Это делает абсцесс легкого особенно распространенным среди людей с плохой гигиеной полости рта или у тех, кто страдает от заболеваний десен.
-
Симптомы и диагностика: Основные симптомы абсцесса легкого включают кашель с гнойной мокротой, лихорадку, озноб и одышку. Для диагностики могут использоваться рентгенография грудной клетки и компьютерная томография, которые помогают визуализировать область абсцесса и оценить его размеры.
-
Лечение и прогноз: Лечение абсцесса легкого обычно включает антибиотикотерапию, а в некоторых случаях может потребоваться дренирование абсцесса. При своевременном лечении большинство пациентов восстанавливаются полностью, однако в запущенных случаях возможны серьезные осложнения, такие как сепсис или дыхательная недостаточность.

Лечение абсцесса легкого
Заниматься самолечением данного состояния крайне не рекомендуется, так как это может привести к серьезным осложнениям. Лучше всего обратиться к специалисту, который сможет установить точный диагноз и назначить соответствующее лечение. В зависимости от стадии заболевания, врач может выбрать как консервативный, так и оперативный подход.
Для терапии абсцесса легкого применяются антибиотики широкого спектра, а также высококалорийное питание. Антибиотики могут вводиться непосредственно в полость абсцесса с помощью бронхоскопии, что позволяет детально осмотреть бронхиальное дерево. Кроме того, назначаются противовоспалительные, дезинтоксикационные и иммуностимулирующие препараты.
Если заболевание переходит в хроническую форму или протекает в тяжелой форме, оперативное вмешательство не следует откладывать. Хирург может провести лобэктомию, удалив часть легкого, или пульмэктомию/пнемэктомию, при которой удаляется все легкое.
Результаты консервативного лечения абсцесса легкого могут быть следующими: 70% пациентов проходят реабилитацию, 20% сталкиваются с началом хронического процесса. Показания к операции возникают у 5% больных, и уровень летальных исходов также составляет 5%.
Хирургическое вмешательство проводится достаточно редко, только в случае возникновения осложнений.
Абсцесс легкого представляет собой гнойное воспаление, возникающее в легочной ткани. Люди, столкнувшиеся с этой проблемой, часто описывают симптомы как резкое ухудшение состояния: высокая температура, сильный кашель с выделением гнойной мокроты, одышка и боль в груди. Эти проявления могут сопровождаться общей слабостью и потерей аппетита. Важно отметить, что абсцесс может развиться как осложнение пневмонии, бронхита или после травмы легких.
Лечение абсцесса легкого обычно включает антибиотикотерапию, которая помогает справиться с инфекцией. В некоторых случаях может потребоваться дренирование гнойного содержимого, чтобы избежать серьезных осложнений. Своевременное обращение к врачу при первых симптомах имеет решающее значение, так как запущенные случаи могут привести к тяжелым последствиям для здоровья. Регулярные обследования и соблюдение рекомендаций врача играют ключевую роль в успешном выздоровлении.
Как понять, что у тебя абсцесс легких?
Боль в области грудной клетки, которая становится ощутимее во время кашля, кашель без выделения мокроты, повышение температуры тела, головные боли, тошнота, общее плохое самочувствие.

Чем лечат абсцесс легкого?
Наиболее предпочтительным средством является комбинированный препарат, содержащий бета-лактам и ингибитор бета-лактамаз, таким как ампициллин/сульбактам. Рекомендуемая дозировка составляет от 1,5 г (1 г ампициллина и 0,5 г сульбактама) до 3 г (2 г ампициллина и 1 г сульбактама), который вводится внутривенно или внутримышечно каждые 6 часов. Максимальная суточная доза не должна превышать 12 г.
Что чувствует человек при абсцессе?
Симптомы включают в себя локальную боль, болезненность, чувство тепла и припухания (если абсцессы около слоя кожи) или общеинтоксикационные симптомы (если абсцессы глубокие). Томография часто необходима для диагностики глубоких абсцессов.
Каковы симптомы абсцесса легкого на 2 стадии?
На втором этапе абсцесса легкого происходит открытие полости и выведение гнойного содержимого через бронхи. Внезапно, на фоне высокой температуры, кашель приобретает влажный характер, и откашливание мокроты происходит в значительных объемах. В течение суток может выделяться до 1 литра и более гнойной мокроты, объем которой зависит от размера образовавшейся полости.
Профилактика абсцесса легкого
Включает в себя комплекс мероприятий, направленных на снижение риска развития этого опасного заболевания. Основные аспекты профилактики можно разделить на несколько категорий: общие рекомендации по укреплению здоровья, меры по предотвращению инфекций и контроль за хроническими заболеваниями.
1. Укрепление иммунной системы: Здоровый образ жизни играет ключевую роль в профилактике. Это включает в себя сбалансированное питание, богатое витаминами и минералами, регулярные физические нагрузки, достаточный сон и отказ от вредных привычек, таких как курение и злоупотребление алкоголем. Укрепление иммунной системы помогает организму более эффективно бороться с инфекциями, которые могут привести к образованию абсцессов.
2. Профилактика инфекций: Важно соблюдать правила личной гигиены, особенно в период эпидемий респираторных инфекций. Регулярное мытье рук, использование антисептиков и избегание контакта с больными людьми могут значительно снизить риск заражения. Также рекомендуется делать прививки против гриппа и пневмококковой инфекции, которые могут стать причиной воспалительных процессов в легких.
3. Контроль за хроническими заболеваниями: Люди с хроническими заболеваниями легких, такими как хронический бронхит или астма, должны внимательно следить за своим состоянием и регулярно посещать врача. Своевременное лечение обострений и соблюдение назначенной терапии помогут предотвратить развитие осложнений, в том числе абсцесса легкого.
4. Избегание факторов риска: Необходимо минимизировать воздействие факторов, способствующих развитию. Это включает в себя избегание загрязненного воздуха, пыли и химических веществ, а также соблюдение мер предосторожности при работе с потенциально опасными материалами.
5. Регулярные медицинские осмотры: Профилактические медицинские осмотры и обследования помогут выявить возможные проблемы с легкими на ранних стадиях. Это особенно важно для людей, работающих в условиях повышенного риска, таких как шахтеры, строители и работники химической промышленности.
Соблюдение этих рекомендаций может значительно снизить риск развития абсцесса легкого и других заболеваний органов дыхания, способствуя поддержанию общего здоровья и благополучия.
Вопрос-ответ
Какой основной метод лечения острого абсцесса легкого?
Лечение включает длительную антибиотикотерапию и мероприятия по улучшению отхождения мокроты. Хирургическое вмешательство показано, если консервативное лечение не дало эффекта.
Что вызывает развитие абсцесса легкого?
Основные причины, вызывающие абсцесс легкого: золотистый стафилококк, грамотрицательные аэробные бактерии, неспорообразующие анаэробные микроорганизмы.
Советы
СОВЕТ №1
Если вы заметили симптомы, такие как постоянный кашель, одышка или боль в груди, не откладывайте визит к врачу. Раннее обращение за медицинской помощью может значительно улучшить прогноз и ускорить процесс лечения.
СОВЕТ №2
Обратите внимание на свое общее состояние здоровья. Поддержание иммунной системы в хорошем состоянии с помощью сбалансированного питания, регулярной физической активности и достаточного сна может помочь предотвратить развитие абсцесса легкого.
СОВЕТ №3
Если вам уже поставили диагноз абсцесса легкого, строго следуйте рекомендациям врача по лечению, включая прием антибиотиков и, при необходимости, процедуры дренирования. Не прекращайте лечение преждевременно, даже если симптомы исчезли.
СОВЕТ №4
Регулярно проходите медицинские обследования, особенно если у вас есть предрасположенность к заболеваниям легких. Это поможет выявить возможные проблемы на ранней стадии и предотвратить их развитие.

