Воспаление легких, или пневмония, — серьезное заболевание, затрагивающее людей любого возраста, особенно пожилых и с хроническими заболеваниями. Важно знать основные симптомы, чтобы вовремя обратиться за медицинской помощью и избежать осложнений. В статье рассмотрим ключевые признаки пневмонии у взрослых, методы диагностики и лечения, что поможет читателям лучше понять свое состояние и принять меры для восстановления здоровья.
Причины воспаления легких
Основными микроорганизмами, способствующими развитию пневмонии, являются бактерии:
- пневмококки;
- палочка Фридлендера;
- стафилококки;
- стрептококки;
- легионелла;
- гемофильная палочка;
- синегнойная палочка;
- микоплазмы;
- протей;
- энтеробактерии;
- хламидии.
На втором месте по значимости находятся вирусы:
- вирус гриппа;
- вирус парагриппа;
- вирус герпеса;
- вирус ветряной оспы;
- аденовирусы;
- респираторно-синцитиальный вирус.
Микробы могут проникать в легкие через:
- бронхи;
- кровоток – из очага инфекции или при внутриутробном заражении;
- лимфатические сосуды – в случае травмы грудной клетки.
Риск развития воспаления легких значительно выше у следующих групп людей:
- людей с ослабленным иммунитетом;
- курильщиков: у них нарушается естественная очистка бронхов благодаря движению ресничек клеток, выстилающих бронхи;
- тех, кто часто испытывает стресс: это ослабляет иммунную систему;
- людей с врожденными аномалиями бронхо-легочной системы;
- злоупотребляющих алкоголем;
- тех, кто не получает полноценного питания;
- людей с хроническими заболеваниями: пиелонефрит, сердечно-сосудистые болезни, патологии суставов;
- часто болеющих простудами;
- тех, кто вынужден долго находиться в постели;
- после операций под общей анестезией;
- пожилых людей и людей старшего возраста.
У детей факторы риска несколько отличаются:
- частые ангины или другие заболевания ЛОР-органов;
- переохлаждение;
- перегрев;
- недостаток сна;
- малое количество времени на свежем воздухе;
- недостаточная закалка;
- наличие больных детей в коллективе.
Врачи подчеркивают, что пневмония у взрослых может проявляться разнообразными симптомами, такими как кашель, одышка, боль в груди и высокая температура. Часто пациенты отмечают общую слабость и быструю утомляемость. Важно вовремя обратиться к врачу, так как запущенные случаи могут привести к серьезным осложнениям. Лечение обычно включает антибиотики, если заболевание вызвано бактериальной инфекцией, а также противовоспалительные средства для облегчения симптомов. Специалисты акцентируют внимание на важности адекватного ухода и соблюдения режима, включая отдых и обильное питье. Ранняя диагностика и комплексный подход к лечению способствуют быстрому выздоровлению и снижению вероятности рецидивов.
Врачи отмечают, что воспаление легких у взрослых может проявляться разнообразными симптомами, включая кашель, одышку, боль в груди и повышенную температуру. Часто пациенты жалуются на общую слабость и усталость. Эксперты подчеркивают важность своевременной диагностики, так как запущенные случаи могут привести к серьезным осложнениям. Лечение обычно включает антибиотики, если заболевание вызвано бактериальной инфекцией, а также противовоспалительные препараты для облегчения симптомов. В некоторых случаях может потребоваться госпитализация, особенно у людей с хроническими заболеваниями или ослабленным иммунитетом. Врачи рекомендуют не игнорировать первые признаки заболевания и обращаться за медицинской помощью для предотвращения серьезных последствий.

Симптомы воспаления легких
В зависимости от этиологии воспаление легких может иметь различные симптомы, однако все они могут быть похожи на признаки простуды или гриппа.
Поэтому точный диагноз можно поставить только после обследования у врача и прохождения соответствующей диагностики. Заболевание может развиться как остро, так и постепенно.
У взрослых, обычно появляются такие симптомы воспаления легких:
- повышение температуры вплоть до 40 градусов;
- головная боль;
- сонливость или беспокойство (у младенцев это обычно беспокойство, у пожилых – выраженная сонливость);
- нарушение сна;
- отсутствие аппетита;
- апатия;
- одышка – увеличение частоты дыхания: у взрослых – больше 20 в минуту, у детей – больше той нормы, которая должна быть в этом возрасте;
Кашель – обычно сначала он сухой, затем становится влажным. Может отделяться слизистая, гнойная мокрота; при распаде ткани легкого она приобретает примесь крови, а то и вовсе становится «ржавой»;
При одышке взрослые стараются принять сидячее положение, поставив руки на небольшое возвышение (например, стол) так, чтобы плечи были немного приподняты. У детей недостаток кислорода проявляется участием в акте дыхания дополнительных мышц: межреберных промежутков, над- и подключичных областей, живота, яремной ямки, раздувание крыльев носа.
При недостатке кислорода в крови отмечается изменение цвета кожных покровов – они становятся синюшными, особенно в области ногтевых лож и носогубного треугольника. Кроме этого, у человека начинает сильно болеть в грудной клетке на стороне воспаления, довольно часто именно болевые ощущения являются главной жалобой больного и требует немедленной помощи.
В некоторых случаях наблюдаются
нетипичные симптомы
этого заболевания:
- икота;
- тошнота и/или рвота;
- частый жидкий стул без примесей, обычно – темного цвета;
- боль в подреберье.
Боль при дыхании или откашливание обильного количества мокроты «полным ртом» являются симптомами пневмонии осложненной.
| Симптом | Тяжесть симптома | Возможные действия/обращение к врачу |
|---|---|---|
| Кашель (сухой или с мокротой) | От легкого покашливания до сильного, изнурительного кашля | При сильном кашле, затрудняющем дыхание, обратитесь к врачу. Принимайте отхаркивающие средства по назначению врача. |
| Лихорадка | От субфебрильной температуры до высокой температуры (39°C и выше) | При высокой температуре, ознобе, обратитесь к врачу. Принимайте жаропонижающие средства (парацетамол, ибупрофен) по назначению врача. |
| Одышка | От легкой одышки до сильной одышки, затрудняющей речь и движение | При сильной одышке, цианозе (синюшности кожи), обратитесь к врачу немедленно. |
| Боль в груди | От легкой боли до сильной, колющей боли | При сильной боли в груди, затрудняющей дыхание, обратитесь к врачу немедленно. |
| Слабость, утомляемость | От легкой усталости до сильной слабости, невозможности выполнять повседневные действия | Обратитесь к врачу, если слабость и утомляемость не проходят в течение нескольких дней. |
| Головная боль | От легкой головной боли до сильной, пульсирующей боли | При сильной головной боли, сопровождающейся другими симптомами, обратитесь к врачу. |
| Потеря аппетита | От незначительного снижения аппетита до полного отсутствия аппетита | Обратитесь к врачу, если потеря аппетита сопровождается другими симптомами. |
| Тошнота, рвота | От легкой тошноты до сильной рвоты | При сильной рвоте, обезвоживании, обратитесь к врачу. |
Интересные факты
Вот несколько интересных фактов о воспалении легких (пневмонии) у взрослых:
-
Разнообразие возбудителей: Пневмония может быть вызвана различными микроорганизмами, включая бактерии, вирусы и грибы. Наиболее распространенным бактериальным возбудителем является Streptococcus pneumoniae, но вирусные пневмонии, особенно вызванные гриппом или COVID-19, также становятся все более распространенными.
-
Симптомы могут варьироваться: У взрослых симптомы пневмонии могут проявляться не так ярко, как у детей. Вместо классических признаков, таких как высокая температура и кашель, у пожилых людей или людей с ослабленным иммунитетом могут наблюдаться лишь легкая усталость, спутанность сознания или даже отсутствие температуры, что затрудняет диагностику.
-
Лечение и профилактика: В зависимости от причины пневмонии, лечение может включать антибиотики, противовирусные препараты или противогрибковые средства. Важным аспектом профилактики является вакцинация, особенно для групп риска, таких как пожилые люди и люди с хроническими заболеваниями. Вакцины против пневмококка и гриппа могут значительно снизить риск развития пневмонии.

Диагностика воспаления легких
Диагноз можно предположить, основываясь на жалобах пациента.
Аускультация, то есть прослушивание дыхательных звуков с помощью фонендоскопа, является важным инструментом в этом процессе. Однако, если воспалительный процесс находится на глубоком уровне и имеет небольшие размеры, то его может быть трудно обнаружить.
Воспаление легких, известное как пневмония, вызывает у людей множество вопросов и беспокойств. Симптоматика у взрослых может различаться, но чаще всего наблюдаются высокая температура, кашель, одышка и общая слабость. Многие подчеркивают, что при первых признаках заболевания важно не откладывать визит к врачу, так как своевременная диагностика имеет решающее значение для успешного лечения. Терапия может включать антибиотики, противовоспалительные средства и, в некоторых случаях, госпитализацию. Также важно уделять внимание отдыху и питьевому режиму, чтобы поддержать организм в борьбе с инфекцией. Некоторые делятся своим опытом применения народных средств, таких как травяные чаи и ингаляции, но предостерегают, что они не могут заменить основное лечение. В целом, знание симптомов и методов терапии способствует предотвращению осложнений и более быстрому восстановлению.
Инструментальные методы диагностики
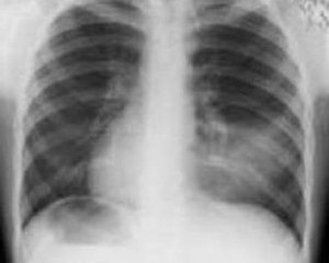
Основным исследованием, которое позволяет поставить диагноз воспаления легких, является рентгенография. Ее желательно делать на стационарном аппарате, стоя, чтобы врач мог пронаблюдать с его помощью пару вдохов и выдохов до того, как будет сделан снимок.
Если же состояние больного настолько тяжелое, что ему требуется лечение в условиях отделения интенсивной терапии, рентгенография делается с помощью передвижных аппаратов.
Если же имеется одна из таких ситуаций:
- 1) Есть признаки пневмонии – и клинические, и выявленные с помощью аускультации, но рентгенография ничего не выявила;
- 2) Наблюдалось более 3 эпизодов пневмонии, локализованной (по данным рентгена) в одной и той же доле;
- 3) Проявления пневмонии не соответствуют рентгенологическим данным,то необходимо проведение компьютерной томографии – метода, основанного на рентгеновском излучении, в результате которого врач получает послойную картину легких.
При подозрении на пневмонию можно проводить и магнитно-резонансную томографию, но в данном случае она будет предоставлять такую же информацию, как и компьютерная, при этом стоить намного дороже.

Лабораторные методы диагностики
-
Общий анализ крови помогает оценить степень воспалительного процесса в организме и косвенно указывает на то, развилась ли у пациента бактериальная или вирусная пневмония.
-
Анализ мокроты позволяет выяснить, что именно выделяется из бронхов – гной, слизь или кровь. При использовании специальной окраски мокроты можно обнаружить микобактерии туберкулеза, если они присутствуют, что помогает в диагностике этого заболевания.
-
Бактериологическое исследование мокроты, результаты которого становятся известны только на пятый день после посева, позволяет определить, какая бактерия вызвала пневмонию и к каким антибиотикам она чувствительна.
-
Если есть подозрение, что воспаление легких вызвано хламидиями или микоплазмами, проводят серологическое или ПЦР-исследование крови.
-
Для подтверждения легионеллезной природы заболевания выполняются серологические анализы крови и мочи.
-
В случае, если пневмония развилась в осенне-зимний или зимне-весенний период, или если общий анализ крови указывает на вирусную природу болезни, берутся смывы из носоглотки, а также кровь на парные сыворотки для выявления ОРВИ.
Оценка тяжести состояния
В клинике обязательно исследуется кровь больного на предмет нарушения функций тех или иных внутренних органов. В ней определяются:
- печеночные пробы: АЛТ, АСТ, билирубин, альбумин;
- для оценки функции почек определяются мочевина, мочевая кислота и креатинин;
- электролиты крови;
- газы крови (для этого нужно получить пробы крови как из артерии, так и из вены) – обязательный метод исследования в условиях отделения интенсивной терапии;
- обязательно определяется состояние свертывающей системы крови.
Также для оценки тяжести состояния человека проводятся неинвазивные инструментальные методы диагностики:
- 1) Пульсоксиметрия – определение насыщения капиллярной крови кислородом (сатурации) для диагностики гипоксии;
- 2) Капнография – исследование выдыхаемых газов;
- 3) Измерение пульса и артериального давления;
- 4) Подсчет частоты дыхательных движений в минуту, в покое.
Лечение воспаления легких
Терапия должна начинаться в первые часы после рентгенологического подтверждения диагноза. Оптимально, если лечение начнется в течение 8 часов с момента появления первых симптомов заболевания. Первые препараты, которые назначаются для лечения пневмонии у взрослых, – это антибиотики широкого спектра действия.
Врач подбирает антибиотики, основываясь на тяжести состояния пациента (уровень сознания, частота дыхания, артериальное давление, уровень насыщения кислородом), рентгенологической картине и предполагаемом возбудителе инфекции.
Обычно лечение начинается с назначения «Левофлоксацина» или «Моксифлоксацина» в сочетании с «Аугментином». Если есть подозрение на внутриклеточную инфекцию (например, хламидии или микоплазмы), терапия начинается с «Сумамеда» (или «Азитромицина»).
Антибиотикотерапия назначается минимум на 7 дней, и препараты могут быть заменены, если через 72 часа после начала лечения симптомы интоксикации и высокая температура не уменьшаются. Также возможно изменение антибиотиков после получения результатов микробиологического анализа мокроты.
Если пневмония развилась во время эпидемии гриппа, даже до подтверждения ее вирусной природы, назначается препарат Озельтамивир. Если его нет, а симптомы указывают на вирусное воспаление легких, можно использовать препараты интерферонов, такие как Лаферон или Виферон.
Кислородная терапия
– применяется при одышке и изменениях в показателях пульсоксиметрии, газов крови и капнографии. Она может проводиться с помощью маски или носовых канюль. При выраженной гипоксии пациента необходимо перевести на искусственную вентиляцию легких, так как это единственный способ спасти жизнь.
Отхаркивающие средства: «Лазолван», «Амброксол», «АЦЦ».
При бронхоспазме назначаются бронхорасширяющие препараты – «Эуфиллин», «Вентолин», «Теофедрин». Обязательны ингаляции с «Беродуалом», «Эуфиллином» и другими средствами, разжижающими мокроту. Рекомендуется проводить ингаляции с использованием ультразвукового ингалятора. Также может быть назначена антикоагулянтная терапия с использованием «Гепарина», «Клексана», «Фраксипарина» и других низкомолекулярных гепаринов.
В некоторых случаях проводятся повторные бронхоскопические санации. Если пациент находится на ИВЛ, бронхоскоп вводится через интубационную трубку. Если такие меры нецелесообразны, бронхоскопия выполняется под местной анестезией.
Если выраженная гипоксия сохраняется даже при искусственной вентиляции, экстракорпоральная мембранная оксигенация крови становится жизненно важной процедурой, позволяя кислороду поступать в кровь через специальный аппарат и исключая больные легкие из процесса газообмена.
Прогноз при воспалении легких
Он благоприятен для молодых и изначально здоровых пациентов, не страдающих ожирением II-III степени, даже при наличии довольно большого поражения легочной ткани.
Опасны пневмонии:
- у детей до года;
- если воспаление вызвано стафилококком, синегнойной палочкой, пневмококком и клебсиеллой, а также вирусом гриппа;
- при аспирационной пневмонии;
- у пожилых и ослабленных пациентов;
- на фоне иммунодефицитного состояния;
- при позднем обращении за помощью;
- если имеется осложненное течение заболевания;
- при обширном поражении легочной ткани.
Последствия перенесенного воспаления легких
Среди осложнений, возникающих при воспалении легких, можно выделить следующие:
- бронхообструкция;
- дыхательная недостаточность;
- инфекционно-токсический шок;
- плеврит;
- абсцесс легкого;
- ателектаз;
- гангрена легкого;
- легочно-сердечная недостаточность;
- миокардит и эндокардит;
- анемия;
- пневмосклероз.
Что хорошо помогает при воспалении легких?
Для лечения воспалительного процесса в легких используются кларитромицин («Клацид», «Кларитромицин-Тева», «Фромилид») и азитромицин («Азитрал», «Сумамед», «Азитрокс»). «Азитрал» выпускается в таблетках с дозировкой для взрослых 250 или 500 мг. Применяется однократно в сутки за два часа до или после приема пищи.
Как понять, что началось воспаление легких?
Боль в боку при глубоком вдохе, одышка и потливость даже при незначительной физической активности, кашель с выделением мокроты слизистого или слизисто-гнойного характера, общая слабость и быстрая утомляемость, головные боли, повышение температуры тела, дискомфорт в суставах и мышцах, а также снижение артериального давления.
Можно ли пневмонию у взрослого лечить дома?
Вне зависимости от причины, пневмония – серьезная болезнь, которую нельзя пытаться лечить самостоятельно.
Как сейчас лечат воспаление легких?
Как проходит лечение пневмонии? Главным методом терапии пневмонии являются антибиотики. Большинство пациентов успешно выздоравливают в домашних условиях, однако тем, кто страдает от более тяжелой формы заболевания, необходимо госпитализация. В больнице предоставляются возможности для кислородных ингаляций и введения жидкостей через капельницы.
Профилактика воспаления легких
Общие рекомендации
Включает в себя ряд мер, направленных на укрепление иммунной системы и снижение риска заражения инфекциями, которые могут привести к воспалению легочной ткани. Важно помнить, что профилактика должна быть комплексной и учитывать индивидуальные особенности здоровья каждого человека.
Вакцинация
Одним из наиболее эффективных способов профилактики пневмонии является вакцинация. Существуют вакцины против пневмококковой инфекции и гриппа, которые могут значительно снизить риск развития воспаления легких. Вакцинация рекомендуется особенно для групп риска, таких как пожилые люди, люди с хроническими заболеваниями, а также для медицинских работников.
Здоровый образ жизни
Поддержание здорового образа жизни играет ключевую роль в профилактике заболеваний органов дыхания. Это включает в себя:
- Правильное питание: Употребление разнообразной и сбалансированной пищи, богатой витаминами и минералами, способствует укреплению иммунной системы.
- Физическая активность: Регулярные физические нагрузки помогают поддерживать нормальную работу легких и улучшают общее состояние здоровья.
- Отказ от курения: Курение является одним из основных факторов риска развития заболеваний легких, включая пневмонию. Отказ от курения значительно снижает вероятность воспалительных процессов в легких.
Гигиена и санитарные меры
Соблюдение правил личной гигиены и санитарных норм также играет важную роль в профилактике. Рекомендуется:
- Часто мыть руки: Регулярное мытье рук с мылом и использование антисептиков помогает предотвратить распространение инфекций.
- Избегать контакта с больными: Старайтесь минимизировать контакт с людьми, у которых есть признаки респираторных инфекций.
- Проветривать помещения: Регулярное проветривание жилых и рабочих помещений способствует улучшению качества воздуха и снижению концентрации патогенов.
Контроль хронических заболеваний
Люди с хроническими заболеваниями, такими как диабет, астма или сердечно-сосудистые заболевания, должны уделять особое внимание контролю своего состояния. Регулярные медицинские осмотры и соблюдение назначенного лечения помогут снизить риск развития осложнений, включая пневмонию.
Своевременное обращение за медицинской помощью
При появлении первых симптомов респираторных заболеваний, таких как кашель, одышка, высокая температура, важно своевременно обратиться к врачу. Раннее выявление и лечение инфекций дыхательных путей могут предотвратить развитие воспаления легких.
Заключение
Требует комплексного подхода и включает в себя вакцинацию, здоровый образ жизни, соблюдение гигиенических норм и контроль хронических заболеваний. Следуя этим рекомендациям, можно значительно снизить риск развития пневмонии и сохранить здоровье легких.
Вопрос-ответ
Для лечения воспалительного процесса в легких используются кларитромицин («Клацид», «Кларитромицин-Тева», «Фромилид») и азитромицин («Азитрал», «Сумамед», «Азитрокс»). «Азитрал» выпускается в таблетках с дозировкой для взрослых 250 или 500 мг. Применяется однократно в сутки за два часа до или после приема пищи.
В чем разница пневмонии от воспаления легких?
Пневмония – это инфекционное воспалительное заболевание тканей легких. Распространено и другое название болезни – воспаление легких. В настоящее время пневмония (воспаление легких) успешно лечится в подавляющем большинстве случаев.
Советы
СОВЕТ №1
Обратите внимание на ранние симптомы. При первых признаках воспаления легких, таких как кашель, одышка, высокая температура и боли в груди, немедленно обратитесь к врачу. Раннее выявление заболевания значительно увеличивает шансы на быстрое и успешное лечение.
СОВЕТ №2
Следите за своим состоянием. Если вы уже находитесь на лечении, важно регулярно контролировать свое состояние. Обратите внимание на изменения в симптомах и сообщайте о них врачу. Это поможет корректировать лечение и избежать осложнений.
СОВЕТ №3
Не занимайтесь самолечением. Использование антибиотиков и других медикаментов без назначения врача может привести к ухудшению состояния и развитию устойчивости к лекарствам. Всегда консультируйтесь с медицинским специалистом перед началом лечения.
СОВЕТ №4
Поддерживайте иммунную систему. Правильное питание, регулярные физические нагрузки и достаточный сон помогут укрепить иммунитет и снизить риск повторного воспаления легких. Также не забывайте о вакцинации против пневмококковой инфекции и гриппа.

