Саркоидоз легких — системное заболевание, проявляющееся образованием гранулем в легочной ткани, что нарушает функцию органов дыхания. Понимание причин, симптомов и методов лечения саркоидоза важно для своевременной диагностики и эффективного управления заболеванием. В статье рассмотрим ключевые аспекты саркоидоза легких, что поможет читателям лучше осознать природу этого заболевания и принимать обоснованные решения о здоровье.
Классификация
Саркоидоз легких имеет несколько разновидностей, которые также указывают на стадию заболевания:
- Первоначальная лимфожелезистая форма (1-я стадия)
- Медиастинально-легочная форма (2-я стадия)
- Легочная форма (3-я стадия)
На первой стадии саркоидоза наблюдается ассиметричное увеличение бронхопульмональных лимфоузлов с обеих сторон. В редких случаях могут быть затронуты трахеобронхиальные, бифуркационные или паратрахеальные узлы.
Медиастинально-легочная форма
представляет собой поражение лимфатических узлов в грудной клетке. Это сопровождается инфильтрацией легочной ткани и может проявляться двухсторонней очаговой или милиарной диссеминацией.
Легочная форма обозначает
третью стадию заболевания. В этом случае поражения становятся более серьезными, и на фоне образования сливных конгломератов могут развиваться пневмосклероз и эмфизема.
Кроме того, саркоидоз легких можно классифицировать по скорости его прогрессирования.
В этом контексте выделяют:
- хронический саркоидоз
- замедленный саркоидоз
- прогрессирующий саркоидоз
- абортивный саркоидоз
Саркоидоз легких — это системное заболевание, которое проявляется образованием гранулем в легочной ткани. Врачи отмечают, что точные причины его возникновения до сих пор не выяснены, однако предполагается, что на развитие болезни могут влиять генетические факторы, инфекции и воздействие определенных химических веществ. Симптоматика может варьироваться от отсутствия симптомов до выраженной одышки, кашля и болей в грудной клетке. Лечение саркоидоза обычно включает кортикостероиды, которые помогают снизить воспаление и контролировать симптомы. Врачи подчеркивают важность регулярного мониторинга состояния пациента, так как в некоторых случаях заболевание может самостоятельно регрессировать. Однако в других случаях может потребоваться длительная терапия для предотвращения осложнений.
Саркоидоз легких представляет собой системное заболевание, характеризующееся образованием гранулем в легочной ткани. Эксперты отмечают, что точные причины его возникновения до конца не изучены, однако предполагается, что на развитие болезни могут влиять генетические факторы, инфекции и воздействие окружающей среды. Симптомы саркоидоза могут варьироваться от легкой одышки и кашля до более серьезных проявлений, таких как боли в груди и усталость. Лечение заболевания часто включает кортикостероиды, которые помогают уменьшить воспаление и контролировать симптомы. Важно, чтобы пациенты находились под наблюдением специалистов, так как заболевание может иметь различные исходы и требует индивидуального подхода к терапии. Регулярные обследования и мониторинг состояния легких играют ключевую роль в управлении этим заболеванием.

Симптомы саркоидоза легких
Саркоидоз легких в большинстве случаев развивается постепенно. Первые симптомы дают о себе знать повышением температуры, ломотой в суставах, нарушением сна. Человек чувствует постоянную усталость и упадок сил. Наблюдается потеря аппетита и, как следствие, довольно существенное похудение.
Наличие признаков саркоидоза легких зависит также и от того, в какой стадии развития находиться болезнь. Так, для медиастинально-легочной формы характерным является кашель и одышка, которые сочетаются с болью в грудине.
Также при этой форме могут наблюдаться поражение кожи, околоушных и слюнных желез, лимфоузлов. Внутригрудная форма характеризуется болезненностью в области грудной клетки, присутствием хрипов и кашля. Эти симптомы сочетаются с высокой температурой тела. Также на этой стадии часто диагностируют узловую эритему кожных покровов.
При легочной форме кашель и одышка усиливаются, к ним присоединяется выделение мокроты, иногда с примесью крови. Также ухудшается работа всех органов и систем, в частности, формируются признаки сердечно-легочной недостаточности.
| Характеристика | Описание | Дополнительная информация |
|---|---|---|
| Что такое саркоидоз легких? | Хроническое гранулематозное заболевание, характеризующееся образованием гранулем (скоплений иммунных клеток) в легких и других органах. | Может быть бессимптомным или проявляться кашлем, одышкой, болями в груди, утомляемостью. |
| Причины | Точная причина неизвестна. Предполагаемые факторы: генетическая предрасположенность, воздействие определенных веществ (например, пыль, силикаты), инфекции. | Связь с определенными генами HLA (например, HLA-DRB1*0301) установлена. Роль инфекционных агентов (например, Mycobacterium tuberculosis) обсуждается. |
| Диагностика | Рентгенография грудной клетки (выявление характерных изменений), компьютерная томография высокого разрешения (КТ), бронхоскопия с биопсией, анализ крови (выявление повышенного уровня ангиотензинпревращающего фермента (АПФ) и кальция). | Биопсия пораженной ткани является золотым стандартом диагностики. |
| Лечение | В большинстве случаев саркоидоз проходит самостоятельно. Лечение назначается при наличии симптомов или прогрессирования заболевания. | Кортикостероиды (преднизолон) являются основным методом лечения. В некоторых случаях применяются другие иммуносупрессанты. |
| Прогноз | Прогноз варьирует в зависимости от тяжести заболевания и вовлеченных органов. В большинстве случаев прогноз благоприятный. | Рецидивы возможны. Длительное наблюдение у врача необходимо. |
| Возможные осложнения | Фиброз легких, легочная гипертензия, сердечная недостаточность, поражение других органов (глаз, кожи, печени, нервной системы). | Осложнения встречаются реже, но могут быть серьезными. |
Интересные факты
Вот несколько интересных фактов о саркоидозе легких:
-
Неизвестная этиология: Причины саркоидоза до сих пор не полностью изучены. Считается, что это заболевание связано с аномальной реакцией иммунной системы на инфекционные агенты, пыль или другие экологические факторы, однако точные триггеры остаются неизвестными.
-
Симптомы и диагностика: Саркоидоз легких может проявляться разнообразными симптомами, включая кашель, одышку и боли в груди. Однако у многих пациентов заболевание протекает бессимптомно и может быть обнаружено случайно при рентгенографическом исследовании грудной клетки.
-
Спонтанное разрешение: В отличие от многих других заболеваний легких, саркоидоз часто имеет благоприятный прогноз. У большинства пациентов (до 70%) заболевание может пройти самостоятельно в течение нескольких месяцев или лет без необходимости в лечении, хотя в некоторых случаях может потребоваться медикаментозная терапия для контроля симптомов.

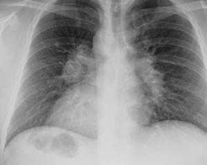
Диагностика
Диагностика заболевания основывается на анализе клинической картины, а также на тщательном изучении анамнеза пациента и его наследственных факторов. В первую очередь выполняется общий анализ крови. При саркоидозе можно наблюдать определенные изменения, такие как лейкоцитоз, повышенное СОЭ, эозинофилия и лимфопения.
Пациентам, у которых есть подозрение на саркоидоз легких, рекомендуется пройти несколько диагностических процедур. В первую очередь это компьютерная томография (КТ) легких и магнитно-резонансная томография (МРТ). Эти исследования помогают выявить очаговую диссеминацию и увеличение лимфатических узлов. Также полезно провести бронхоскопию.
Наиболее точный диагноз, который может подтвердить или опровергнуть наличие саркоидоза легких, ставится на основании гистологического анализа. Он выполняется на образце ткани, полученном при бронхоскопии, трансторакальной пункции или биопсии. Кроме того, высокая достоверность достигается при использовании пробы Квейма, которая включает введение подкожно саркоидного антигена.
Через примерно три недели место инъекции подлежит иссечению, после чего образец анализируется гистологически. Позитивный результат пробы Квейма свидетельствует о наличии стандартной саркоидной гранулемы.
Случаи, когда саркоидоз легких протекает без каких-либо симптомов, не являются редкостью. Обычно в таких ситуациях заболевание выявляется во время профилактического рентгенологического обследования.
Саркоидоз легких представляет собой воспалительное заболевание, при котором в легких формируются гранулемы — небольшие скопления воспалительных клеток. Причины его возникновения до конца не выяснены, однако предполагается, что на развитие болезни могут влиять генетические факторы, инфекции и воздействие определенных химических веществ. Симптоматика может варьироваться от легкой одышки и кашля до более серьезных проявлений, таких как боли в груди и усталость. Диагностика включает рентгенографию, компьютерную томографию и биопсию легких. Лечение часто начинается с кортикостероидов, которые помогают уменьшить воспаление. В большинстве случаев саркоидоз проходит самостоятельно, но в некоторых ситуациях может потребоваться длительная терапия. Важно, чтобы пациенты находились под наблюдением врача, так как заболевание может проявляться по-разному и иметь различные формы.
Лечение саркоидоза легких
Учитывая длительное развитие саркоидоза легких, больному требуется постоянный врачебный контроль на протяжении 6-8 месяцев. Назначение конкретных видов лекарств зависит от того, на какой стадии находиться болезнь.
Всех больных, находящихся на диспансерном учете, разделяют на несколько групп:
- больные с активным саркоидозом
- пациенты, у которых диагноз установили впервые
- больные с рецидивом или обострением заболевания
- пациенты, у которых саркоидоз находится в неактивной фазе (наблюдаются остаточные явления)
Для
лечения саркоидоза легких
в большинстве случаев используют различные иммуносупрессанты, в частности, преднизолон и дексаметазон. Кроме того, терапия данной болезни включает обязательное использование противовоспалительных препаратов, например, вольтарена или индометацина.
Специфических препаратов, борющихся с саркоидозом на сегодня, к сожалению не существует. Это объясняется тем, что этиология заболевания так и не установлена.

Прогноз лечения саркоидоза
В большинстве случаев саркоидоз имеет доброкачественное течение. Многие его формы не проявляются ярко выраженными симптомами и не причиняют значительного дискомфорта пациентам.
Около 30% пациентов с саркоидозом легких сталкиваются с переходом заболевания в хроническую форму. В таких ситуациях требуется регулярное медицинское наблюдение и профилактика возможной дыхательной недостаточности, которая часто развивается при таком течении болезни.
Некоторым пациентам удается полностью выздороветь после первого успешного курса терапии. У других же заболевание может проявляться на протяжении всей жизни в виде периодических ремиссий.
Прогноз при саркоидозе легких значительно улучшается, если заболевание было диагностировано на ранних стадиях. Поэтому важно не игнорировать профилактические рентгенологические обследования.
Осложнения саркоидоза
При саркоидозе возможно образование осложнений, которые большей частью задевают дыхательные пути и сердечнососудистую систему. К таким осложнениям, в частности принадлежит синдром легочного сердца. При таком состоянии утолщаются стенки сердца, нарушается его кровоснабжение. В результате может развиться сердечная недостаточность.
Также нередким осложнением саркоидоза легких является эмфизема легких, бронхообтурационный синдром. Процесс фиброзирования саркоидных гранулем в около 10% случав может привести к интерстициальному пневмосклерозу. Иногда на фоне саркоидоза может появится также и туберкулез легких, или произойти присоединение инфекции.
Профилактика саркоидоза
Профилактика саркоидоза включает в себя соблюдение принципов здорового образа жизни. Чтобы снизить риск развития заболевания, настоятельно рекомендуется отказаться от курения.
Также важно минимизировать потребление продуктов, содержащих искусственные добавки, и ограничить контакт с вредными химическими веществами.
Лица с уже существующими нарушениями в работе иммунной системы находятся в группе повышенного риска по развитию саркоидоза. Таким людям следует особенно внимательно следить за своим здоровьем и при первых подозрениях обращаться за медицинской помощью.
Тем, у кого уже диагностирован саркоидоз, также необходимо заботиться о своем здоровье, чтобы избежать возможных осложнений. Одним из ключевых аспектов для таких пациентов является ограничение потребления кальция.
Поскольку при саркоидозе может происходить образование камней в мочевом пузыре, употребление пищи, богатой кальцием, может усугубить эту проблему. Кроме того, стоит сократить время пребывания на солнце, так как солнечные лучи способствуют повышенной выработке витамина D, что, в свою очередь, увеличивает уровень кальция в крови.
От чего появляется саркоидоз легких?
Причины саркоидоза Сторонники иммунной теории объясняют возникновение болезни нарушением функционирования иммунной системы и активным размножением клеток воспаления. Еще одна теория заключает в себя предположение, что развитию саркоидоза легких способствует некий триггер, а именно неблагоприятный фактор извне.
Можно ли жить с саркоидозом легких?
Большинство пациентов с установленным диагнозом саркоидоз способны восстановиться без необходимости в специализированной терапии и продолжают жить привычной жизнью.
Что провоцирует саркоидоз?
Среди факторов, которые провоцируют появление саркоидоза, рассматриваются: интоксикации токсинами при работе на вредном производстве, инфекционные заболевания (туберкулез, хламидиоз), продолжительный контакт с аллергенами на фоне сниженного иммунитета.
Как избавиться от саркоидозных поражений?
Терапия легкой формы саркоидоза может состоять из использования кремов, мазей или инъекций непосредственно в пораженные участки кожи. В случаях тяжелого саркоидоза, когда наблюдаются множественные очаги или поражения на лице, лечение может дополнительно включать пероральные препараты или инъекционные и внутривенные средства в определенных ситуациях.
Исследования и новые методы лечения саркоидоза
Саркоидоз легких является сложным заболеванием, и его лечение требует индивидуального подхода. В последние годы в области исследования саркоидоза наблюдается значительный прогресс, что открывает новые горизонты в лечении этой патологии. Основные направления исследований включают изучение патогенеза заболевания, генетических факторов, а также разработку новых терапевтических стратегий.
Одним из ключевых аспектов современных исследований является понимание иммунного ответа при саркоидозе. Ученые выясняют, как именно иммунная система реагирует на различные триггеры, что может привести к образованию гранулем в легких. Это знание может помочь в разработке более целенаправленных методов лечения, которые будут направлены на модуляцию иммунного ответа.
В последние годы также активно исследуются биомаркеры, которые могут помочь в диагностике и мониторинге саркоидоза. Например, уровень специфических цитокинов и других молекул в крови может указывать на активность заболевания и его ответ на терапию. Это позволит врачам более точно оценивать состояние пациента и корректировать лечение.
Что касается новых методов лечения, то в последние годы внимание исследователей привлекли биологические препараты. Эти лекарства направлены на блокирование специфических молекул, участвующих в воспалительном процессе. Например, препараты, ингибирующие факторы некроза опухолей (TNF-α), уже показали свою эффективность у некоторых пациентов с саркоидозом, особенно в случаях, когда традиционные методы лечения не дают желаемого результата.
Кроме того, активно изучаются и другие классы препаратов, такие как ингибиторы JAK-киназ и моноклональные антитела, которые могут предложить новые возможности для лечения саркоидоза. Эти подходы могут стать особенно актуальными для пациентов с тяжелыми формами заболевания, когда стандартные методы терапии неэффективны.
Важно отметить, что исследования в области саркоидоза продолжаются, и новые данные могут изменить подходы к лечению. Участие пациентов в клинических испытаниях также играет важную роль в развитии новых терапий. Это дает возможность не только получить доступ к передовым методам лечения, но и внести свой вклад в научное сообщество, помогая улучшить понимание и лечение саркоидоза.
Таким образом, современные исследования и новые методы лечения саркоидоза легких открывают новые перспективы для пациентов, страдающих от этого заболевания. С каждым годом мы приближаемся к более эффективным и безопасным стратегиям лечения, что дает надежду на улучшение качества жизни и прогнозов для людей с саркоидозом.
Вопрос-ответ
Что такое саркоидоз легких и как он проявляется?
Саркоидоз легких — это воспалительное заболевание, при котором образуются гранулемы (маленькие воспалительные узелки) в легких. Симптомы могут включать кашель, одышку, боль в груди и усталость. У некоторых людей заболевание может протекать бессимптомно и быть обнаружено случайно при рентгенографии.
Каковы основные причины саркоидоза легких?
Точные причины саркоидоза легких неизвестны, но предполагается, что заболевание может быть связано с иммунным ответом на инфекционные агенты, химические вещества или генетическую предрасположенность. Некоторые исследования также указывают на возможное влияние окружающей среды и вирусов.
Какие методы лечения применяются при саркоидозе легких?
Лечение саркоидоза легких зависит от степени тяжести заболевания и наличия симптомов. В легких случаях может быть достаточно наблюдения, в то время как более серьезные случаи могут требовать применения кортикостероидов для уменьшения воспаления. В некоторых случаях могут быть назначены иммунодепрессанты или другие препараты для контроля симптомов.
Советы
СОВЕТ №1
Обратитесь к врачу при первых симптомах. Если вы заметили такие признаки, как кашель, одышка или усталость, не откладывайте визит к специалисту. Раннее выявление саркоидоза может значительно улучшить прогноз и облегчить лечение.
СОВЕТ №2
Регулярно проходите медицинские обследования. Если у вас есть предрасположенность к заболеваниям легких или вы находитесь в группе риска, важно регулярно проверять состояние легких и проходить необходимые тесты, такие как рентгенография или компьютерная томография.
СОВЕТ №3
Следите за своим образом жизни. Здоровое питание, отказ от курения и регулярные физические нагрузки могут помочь поддерживать здоровье легких и улучшить общее состояние организма. Это особенно важно для людей с диагнозом саркоидоз.
СОВЕТ №4
Ищите поддержку и информацию. Присоединяйтесь к группам поддержки или форумам, где можно обсудить свои переживания и получить советы от людей, столкнувшихся с саркоидозом. Это поможет вам не чувствовать себя одиноким в борьбе с заболеванием.


