Кандидоз — грибковая инфекция, вызванная избыточным ростом грибов рода Candida. Она может поражать кожу, слизистые оболочки и внутренние органы. Знание симптомов и методов лечения кандидоза важно, так как заболевание вызывает дискомфорт и осложнения, особенно у людей с ослабленным иммунитетом. В статье рассмотрим основные признаки кандидоза, способы диагностики и эффективные методы лечения, а также предоставим наглядные фото для лучшего понимания проблемы.
Причины кандидоза
Кандидоз – это не заболевание, передающееся половым путем. На самом деле, это активация собственной условно-патогенной микрофлоры организма.
Возбудители кандидоза делятся на две основные категории:
- Candida albicans – чаще всего вызывает единичные случаи кандидоза.
- Candida non-albicans – чаще всего становится причиной рецидивирующего урогенитального кандидоза.
Важно отметить, что кандидозный баланопостит у мужчин может возникнуть, если у их половой партнерши в данный момент имеется активная кандидозная инфекция. Таким образом, полностью исключать половой путь передачи не следует.
Кандидоз, вызванный грибами рода Candida, является распространенной проблемой, проявляющейся различными симптомами в зависимости от места локализации. Врачи отмечают, что наиболее часто встречаются зуд, жжение и выделения, особенно у женщин. При этом стоит помнить, что кандидоз может развиваться не только в области половых органов, но и в ротовой полости, на коже и даже в внутренних органах.
Лечение кандидоза требует комплексного подхода. Специалисты рекомендуют использовать противогрибковые препараты, которые могут быть как местного, так и системного действия. Кроме того, важно уделять внимание укреплению иммунной системы и соблюдению гигиенических норм. Врачи подчеркивают, что самолечение может привести к осложнениям, поэтому при первых признаках заболевания следует обратиться к врачу для точной диагностики и назначения соответствующей терапии.
Кандидоз, вызванный грибами рода Candida, является распространенной инфекцией, которая может проявляться различными симптомами в зависимости от локализации. Эксперты отмечают, что наиболее частыми проявлениями являются зуд, жжение, выделения и покраснение. У женщин кандидоз часто проявляется в виде вагинита, у мужчин – в виде баланита. Важно отметить, что симптомы могут варьироваться, и иногда инфекция протекает бессимптомно.
Лечение кандидоза обычно включает противогрибковые препараты, как местного, так и системного действия. Врачи подчеркивают, что для достижения наилучших результатов важно соблюдать рекомендации по дозировке и продолжительности курса. Также стоит обратить внимание на профилактические меры, такие как поддержание нормального уровня сахара в крови и соблюдение гигиенических норм. Визуальные проявления кандидоза можно увидеть на фото, что помогает в самодиагностике, однако для точного диагноза и назначения лечения необходимо обратиться к специалисту.

Симптомы кандидоза
Кандидоз с учетом клинического течения делится на два основных вида:
- 1) Спорадический, который не характеризуется тяжелым течением и наблюдается на фоне нормально протекающих иммунных реакций в организме
- 2) Рецидивирующий, заключение о котором делается, если за год наблюдается 4 рецидива заболевания и более.
Симптомы заболевания у женщин и мужчин делятся на субъективные (это жалобы пациента) и объективные (определяются врачом).
К субъективным клиническим
проявлениям кандидоза у женщин
относятся:
- творожистые выделения из половых путей, которые становятся более обильными накануне менструации. По цвету они могут быть белыми или желтовато-белыми
- зуд в области половых органов и анальной области
- чувство жжения в аногенитальной области
- дискомфорт в данной области
- боли, возникающие во время полового акта (диспареуния)
- дизурические явления, если воспалительный процесс переходит на уретру (боли и рези, которые возникают во время мочеиспускания).
Объективными симптомами урогенитального кандидоза у женщин являются:
- покраснение вульвы и влагалища
- отечности в данной области
- характерные выделения из половых путей, которые врач определяет во время осмотра
- трещины на коже и слизистой оболочке (чаще всего они наблюдаются вульварные, перианальные трещины и в области задней спайки)
- в случае рецидивирующего кандидоза наблюдается повышенное ороговение кожи, утолщение слизистой оболочки, сухость слизистой, выделения из влагалища в небольшом количестве.
У новорожденных
кандидоз проявляется следующими клиническими формами:
- конъюнктивит – воспаление конъюнктивальной оболочки
- омфалит – воспаление пупочного кольца
- кандидозный стоматит – воспаление ротовой полости
- кандидоз кожи
- кандидозная пневмония – воспаление легочной ткани.
У мужчин наблюдается несколько иная клиническая картина
в сравнении с женщинами, хотя она и имеет некоторое сходство. Субъективными симптомами кандидоза у мужчин у них являются:
- отек и покраснение головки пениса
- высыпания в данной области, которые могут быть покрыты белым творожистым налетом
- зуд или чувство жжения в области промежности и половых органов
- дискомфорт в данной области
- боли, возникающие во время полового акта, которые резко ограничивают интимную жизнь
- дизурические проявления.
Объективно определяемыми симптомами у мужчин являются:
- покраснение и отек головки пениса, которые выявляет врач (уролог или дерматовенеролог)
- высыпания, которые покрыты белым налетом. Они могут быть различными – пятна, папулы, эрозии
- трещины, которые возникают в области пениса.
| Симптом | Локализация | Фото (примечание: фотографии для иллюстрации могут быть найдены в интернете с помощью поисковых запросов, например, “кандидоз полости рта фото”, “кандидоз ногтей фото” и т.д.) |
|---|---|---|
| Белый налет на слизистой оболочке рта, языка, миндалин | Полость рта | |
| Зуд, жжение, боль в области поражения | Полость рта, влагалище, паховая область | |
| Красные, воспаленные участки кожи | Кожа, паховая область, подмышки | |
| Трещины в уголках рта (заеды) | Уголки рта | |
| Белый творожистый налет на слизистой влагалища | Влагалище | |
| Изменение цвета и структуры ногтей (утолщение, пожелтение, крошение) | Ногти | |
| Сильный зуд во влагалище | Влагалище | |
| Болезненное мочеиспускание | Уретра |
Интересные факты
Вот несколько интересных фактов о кандидозе:
-
Разнообразие форм: Кандидоз может проявляться в различных формах, включая оральный кандидоз (молочница), вагинальный кандидоз и системный кандидоз. Каждый из этих типов имеет свои специфические симптомы и требует индивидуального подхода к лечению.
-
Факторы риска: Кандидоз чаще всего развивается при ослаблении иммунной системы, что может происходить из-за стресса, неправильного питания, приема антибиотиков или гормональных изменений. Например, женщины во время беременности или при использовании противозачаточных средств более подвержены вагинальному кандидозу.
-
Лечение и профилактика: Лечение кандидоза обычно включает противогрибковые препараты, которые могут быть как местного, так и системного действия. Однако профилактика также играет важную роль: поддержание здорового образа жизни, правильное питание и соблюдение гигиенических норм могут значительно снизить риск развития инфекции.
Если вам нужны дополнительные детали или информация, дайте знать!

Диагностика кандидоза
Несмотря на яркие клинические проявления, точное определение диагноза кандидоза невозможно без лабораторных исследований. Для этого применяются следующие дополнительные методы диагностики:
- Микроскопическое исследование мазков, взятых из влагалища и/или уретры. Лаборант использует методику окрашивания по Граму для более точного выявления грибов рода Candida.
- Культуральный метод, который включает высевание грибов на специальные питательные среды. В качестве биологического материала используется отделяемое из влагалища и мочеиспускательного канала. Этот метод более затратен по сравнению с микроскопическим и применяется в случаях отрицательных результатов предыдущего исследования, но при наличии характерных клинических симптомов.
- ПЦР-диагностика позволяет определить конкретный вид грибов рода Candida. В этом случае используются ДНК-зонды, которые выявляют уникальные фрагменты нуклеиновых кислот, характерные для определенных видов дрожжевых грибков. Обычно это исследование назначается при неэффективности лечения, когда грибки проявляют устойчивость к применяемым противогрибковым средствам.
Кандидоз может проявляться атипично или иметь схожесть с другими заболеваниями мочеполовой системы. Поэтому необходимо проводить дифференциальную диагностику с такими состояниями, как:
- бактериальный вагиноз
- герпетическая инфекция
- аллергический вульвовагинит
- баланит, который может приводить к рубцовым изменениям на половом члене.
Кандидоз — это грибковая инфекция, вызванная избыточным размножением грибов рода Candida. Многие люди сталкиваются с его симптомами, такими как зуд, жжение, белый налет на слизистых оболочках и дискомфорт. Чаще всего кандидоз проявляется в виде молочницы, особенно у женщин, но также может затрагивать мужчин и детей. Лечение включает противогрибковые препараты, которые могут быть как местного, так и системного действия. Важно также обратить внимание на образ жизни: правильное питание, поддержание иммунной системы и соблюдение гигиенических норм могут помочь предотвратить рецидивы. Многие пациенты делятся своим опытом, подчеркивая значимость своевременной диагностики и обращения к врачу, чтобы избежать осложнений. Фотографии, демонстрирующие симптомы, могут быть полезны для распознавания проблемы, но всегда лучше полагаться на профессиональную медицинскую помощь.
Лечение кандидоза
- 1) Назначение противогрибковых препаратов. В зависимости от степени тяжести воспалительного процесса может проводиться как системная, так и местная противогрибковая терапия.
- 2) Проведение терапии, направленной на повышение эффективности иммунных реакций, при наличии отклонений в иммунограмме.
Основными противогрибковыми препаратами являются:
- натамицин
- клотримазол
- итраконазол
- бутоконазол
- флуконазол и другие.
Для лечения вагинального кандидоза местно используются вагинальные свечи. Местное лечение баланопостита подразумевает использование противогрибковых мазей. Лечение рецидивирующего кандидоза подразумевает проведение более интенсивной терапии.
Она основывается на следующих принципах:
- 1) Проводится основной курс лечения противогрибковыми препаратами
- 2) Проведение поддерживающей терапии, которая должна длиться на протяжении 6 месяцев. Для этого используются либо местные формы лекарственных препаратов, либо системные. Их назначают с периодичностью 1 раз в неделю.
Кандидоз может развиться и во время беременности, так как в это время создаются благоприятные условия в виде снижения иммунитета. Однако применение многих противогрибковых препаратов во время гестации запрещено. Предпочтение отдается местным лекарственным формам. Некоторые из них разрешаются с определенного срока беременности.
Так, при развитии кандидоза в первом триместре возможно применение Натамицина в виде вагинальных суппозиториев. Клотримазол можно использовать только со второго триместра беременности. Обычно длительность лечения кандидоза во время беременности составляет семь дней.
Системная терапия у беременных проводится только при генерализованном кандидозе, который угрожает жизни женщины. В данном случае назначаются внутривенные инфузии Флюконазола, которые могут оказать побочные воздействие на плод. Однако в такой ситуации необходимо спасть жизнь женщины. При развитии кандидоза у детей показано назначение Флюконазола в виде однократного приема внутрь. Системно может применяться Натамицин в виде крема, который наносится один раз в день.
Эффективное лечение урогенитального кандидоза сопровождается следующими изменениями:
- выздоровление, подтверждаемое клинически
- хорошие результаты микроскопического исследования
- нормальные результаты культурального исследования, которое проводится при неинформативности микроскопического.
Чтобы оценить излеченность пациента, контрольные анализы должны быть проведены через 14 дней после окончания курса лечения.

Осложнения
Своевременная диагностика и лечение урогенитального кандидоза имеют критическое значение, поскольку игнорирование проблемы может привести к серьезным осложнениям. К числу основных негативных последствий данного заболевания относятся:
- воспалительные заболевания органов малого таза (аднексит, метрит, параметрит и др.)
- вовлечение мочеиспускательного канала и мочевого пузыря в воспалительный процесс (уретрит, цистит)
- бесплодие
- риск невынашивания беременности
- внутриутробное инфицирование плода, что может повлечь за собой поражение различных органов
- внутриутробная смерть плода
- преждевременные роды
- преждевременное излитие околоплодных вод
- инфицирование новорожденных при прохождении через родовые пути
- послеродовый эндометрит.
Профилактика
Профилактика кандидоза заключается в укреплении иммунитета различными способами, а также предупреждение случайных половых связей. В итоге это положительно сказывается на состоянии органов мочеполовой системы.
В заключение необходимо отметить, что урогенитальный кандидоз является одной из самых распространенных инфекций мочеполовых органов. Это заболевание при отсутствии своевременного лечения и запоздалой диагностике способно приводить к развитию серьезных осложнений, в том числе и акушерских.
Поэтому необходимо знать клинические признаки этого заболевания, чтобы своевременно обратиться к врачу (гинекологу, урологу или дерматовенерологу). Доктор, используя лабораторные методы диагностики, подтверждает данный диагноз, после чего назначает соответствующее лечения, проводя контроль его эффективности.
Типы кандидоза
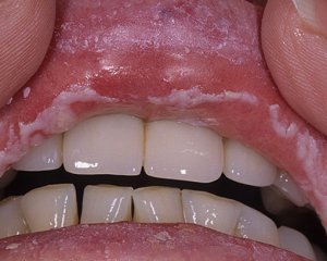
Кандидоз полости рта
Кандидоз полости рта, также известный как молочница, вызывается грибами рода Candida, чаще всего Candida albicans. Этот тип кандидоза проявляется в виде белых налетов на языке, щеках, деснах и небе. У пациентов могут наблюдаться болезненные ощущения, затруднения при глотании и неприятный вкус во рту. Кандидоз полости рта чаще всего встречается у людей с ослабленной иммунной системой, таких как пациенты с ВИЧ/СПИДом, диабетом или принимающие антибиотики.
Кандидоз кожи
Кандидоз кожи проявляется в виде красных, зудящих высыпаний, которые могут возникать в складках кожи, таких как подмышки, пах, между пальцами рук и ног. Эти высыпания могут быть влажными и покрытыми белыми корочками. Кандидоз кожи чаще всего возникает у людей с избыточным весом, а также у тех, кто страдает от диабета или принимает антибиотики.
Кандидоз влагалища
Кандидоз влагалища, или вагинальный кандидоз, является распространенной проблемой среди женщин. Симптомы включают зуд, жжение, выделения белого цвета с творожистой консистенцией и болезненные ощущения при половом акте. Этот тип кандидоза может быть вызван различными факторами, включая гормональные изменения, прием антибиотиков и ослабление иммунной системы.
Кандидоз пищевода
Кандидоз пищевода — это менее распространенный, но серьезный тип кандидоза, который может возникнуть у людей с ослабленным иммунитетом. Симптомы включают боль при глотании, затрудненное глотание и ощущение «комка» в горле. Этот тип кандидоза требует медицинского вмешательства и может потребовать лечения противогрибковыми препаратами.
Кандидоз ногтей
Кандидоз ногтей, или онихомикоз, проявляется в виде изменения цвета, утолщения и ломкости ногтей. Грибок может поражать как ногти на руках, так и на ногах. Этот тип кандидоза часто возникает у людей с ослабленным иммунитетом или при наличии других заболеваний, таких как диабет. Лечение может включать местные и системные противогрибковые препараты.
Кандидоз системный
Системный кандидоз — это серьезное состояние, при котором грибки проникают в кровь и могут поражать внутренние органы. Этот тип кандидоза чаще всего наблюдается у людей с тяжелыми иммунными нарушениями. Симптомы могут варьироваться от лихорадки и озноба до более серьезных проявлений, таких как сепсис. Системный кандидоз требует немедленного медицинского вмешательства и интенсивной терапии.
Вопрос-ответ
Что такое кандидоз и какие его основные симптомы?
Кандидоз — это грибковая инфекция, вызванная дрожжеподобными грибами рода Candida. Основные симптомы включают зуд, жжение, белый налет на слизистых оболочках, а также болезненные ощущения при мочеиспускании или половом акте. У женщин может наблюдаться обильные выделения из влагалища, а у мужчин — покраснение и зуд в области половых органов.
Каковы основные методы лечения кандидоза?
Лечение кандидоза обычно включает противогрибковые препараты, которые могут быть назначены в виде таблеток, кремов или вагинальных суппозиториев. Важно также соблюдать гигиену и избегать факторов, способствующих развитию инфекции, таких как стресс, неправильное питание и ослабленный иммунитет. В некоторых случаях может потребоваться консультация врача для определения наиболее эффективного лечения.
Как предотвратить повторное возникновение кандидоза?
Для предотвращения повторного возникновения кандидоза рекомендуется поддерживать здоровый образ жизни, включая сбалансированное питание, регулярные физические нагрузки и достаточный уровень сна. Также важно избегать избыточного употребления антибиотиков и сахара, а также носить свободное, дышащее белье. Регулярные визиты к врачу помогут контролировать состояние и предотвращать рецидивы.
Советы
СОВЕТ №1
Обратите внимание на симптомы кандидоза: зуд, жжение, белые выделения и дискомфорт. При их появлении не откладывайте визит к врачу, так как ранняя диагностика поможет избежать осложнений.
СОВЕТ №2
Следите за своим рационом. Ограничьте потребление сахара и углеводов, так как они способствуют размножению грибка. Включите в меню больше пробиотиков, таких как йогурт и кефир, которые помогут восстановить нормальную микрофлору.
СОВЕТ №3
Избегайте самодиагностики и самолечения. Не используйте безрецептурные препараты без консультации с врачом, так как это может усугубить ситуацию и привести к хронической форме заболевания.
СОВЕТ №4
Поддерживайте иммунную систему. Регулярные физические нагрузки, полноценный сон и управление стрессом помогут вашему организму лучше справляться с инфекциями, включая кандидоз.

