Пяточная шпора — распространенное заболевание, вызывающее сильную боль при ходьбе. Многие сталкиваются с этой проблемой и не всегда могут обратиться к врачу. В статье рассмотрим эффективные методы лечения пяточной шпоры в домашних условиях, которые помогут облегчить симптомы и ускорить выздоровление. Эти методы могут улучшить качество жизни и вернуть радость движения.
Причины
Что это такое и почему возникает? Пяточная шпора — это костный нарост, который формируется в результате воспалительных процессов в фасции, соединительных тканях стопы.
Ношение неудобной обуви, например, туфель на высоком каблуке, может привести к неправильному распределению веса по стопе, что, в свою очередь, вызывает воспаление соединительных тканей и образование шпоры. Также стоит отметить, что плоскостопие в 90% случаев становится причиной появления пяточных шпор.
Чаще всего пяточная шпора диагностируется у пожилых людей. У молодых людей это заболевание может возникнуть из-за интенсивных спортивных нагрузок, которые увеличивают давление на пятку. Риск развития данной проблемы также возрастает при наличии избыточного веса, нарушений обмена веществ, заболеваний суставов и позвоночника, травм, а также проблем с кровообращением в ногах.
Врачи подчеркивают, что лечение пяточной шпоры в домашних условиях может быть успешным, если применять комплексный подход. Первым шагом рекомендуется использовать холодные компрессы для снижения воспаления и облегчения боли. Полезно также выполнять специальные упражнения для растяжки икроножных мышц и подошвенной фасции, что помогает уменьшить нагрузку на пятку.
Кроме того, специалисты рекомендуют использовать ортопедические стельки или специальные подушки, которые помогают равномерно распределить нагрузку на стопу. В качестве дополнительного лечения можно применять мази с противовоспалительными компонентами. Однако врачи настоятельно советуют перед началом самостоятельного лечения проконсультироваться с медицинским специалистом, чтобы исключить наличие более серьезных заболеваний и подобрать наиболее эффективный метод терапии.
Эксперты в области медицины и физиотерапии отмечают, что лечение пяточной шпоры в домашних условиях может быть эффективным при соблюдении ряда рекомендаций. В первую очередь, важно обеспечить покой пораженной ноги и избегать чрезмерных нагрузок. Холодные компрессы помогут снизить воспаление и отек, а регулярные теплые ванночки с добавлением морской соли способствуют расслаблению мышц и улучшению кровообращения.
Массаж стопы и использование специальных ортопедических стелек также могут значительно облегчить состояние. Некоторые специалисты рекомендуют выполнять упражнения на растяжку, что способствует укреплению мышц и связок. В дополнение к этому, применение противовоспалительных мазей и гелей может помочь в снятии болевого синдрома. Однако эксперты подчеркивают, что перед началом любого лечения важно проконсультироваться с врачом, чтобы исключить возможные осложнения.

Симптомы и фото пяточной шпоры
Главный симптомы пяточной шпоры — боль в стопе, которая локализуется в области пятки. В большинстве случаев боль острая, жгучая, ее нередко сравнивают с болью от вонзившегося в пятку гвоздя.
Столь неприятные ощущения чаще всего возникают в утренние часы, а также после длительного сидячего положения, когда на пятку долгое время не было оказано какой-либо нагрузки.
Человек в таком случае может испытывать боли сильнее, чем обычно. Иногда их еще называют «стартовые боли».
Болезненные ощущения на протяжении дня могут менять свою интенсивность, но процесс этот индивидуальный. Некоторые люди могут страдать лишь от «стартовой боли» и легкого дискомфорта в течение дня. Иные могут страдать от умеренных болей, которые еще позволяют человеку свободно передвигаться, но с такими ощущениями едва ли человек сможет бегать или просто быстро идти.
В крайних случаях человек может ощущать сильные боли, которые разливаются по всей стопе, что говорит о сильном воспалительном процессе. Если пяточная шпора возникла сразу в двух ногах, то в большинстве случаев человек утрачивает способность нормально передвигаться до тех пор, пока не будет проведено адекватное лечение.
Люди с этим недугом, страдающие от болезненных ощущений, очень часто стараются минимизировать их, перенося нагрузку с пятки на другие участки стопы. Это приводит к развитию плоскостопия, что лишь ухудшает состояние человека и усугубляет основное заболевание.
| Метод лечения | Описание | Примечания |
|---|---|---|
| Холодные компрессы | Прикладывайте лед к пораженной области на 15-20 минут несколько раз в день. | Используйте лед, завернутый в полотенце, чтобы избежать обморожения. |
| Растяжки и упражнения | Выполняйте упражнения на растяжку икроножных мышц и подошвенного апоневроза. | Начните с легких упражнений и постепенно увеличивайте интенсивность. |
| Ортопедические стельки | Используйте ортопедические стельки или супинаторы, которые поддерживают свод стопы и снижают давление на пятку. | Выберите стельки, подходящие для вашей формы стопы. |
| Массаж | Массируйте пятку и окружающие ткани, чтобы улучшить кровообращение и уменьшить боль. | Обращайтесь к специалисту, если у вас есть сомнения. |
| Теплые ванны для ног | Замачивайте ноги в теплой воде с добавлением английской соли или эфирных масел (например, эвкалипта или лаванды). | Не используйте слишком горячую воду. |
| Физиотерапия | Ультразвуковая терапия, электрофорез и другие физиотерапевтические процедуры могут помочь уменьшить боль и воспаление. | Проконсультируйтесь с врачом или физиотерапевтом. |
Интересные факты
Вот несколько интересных фактов о лечении пяточной шпоры в домашних условиях:
-
Использование подручных средств: Одним из популярных домашних методов лечения пяточной шпоры является использование уксуса. Компрессы с яблочным уксусом могут помочь уменьшить воспаление и облегчить боль. Уксус обладает противовоспалительными свойствами и может способствовать улучшению кровообращения в области поражения.
-
Массаж и растяжка: Регулярный массаж стоп и растяжка ахиллова сухожилия и подошвенной фасции могут значительно облегчить симптомы пяточной шпоры. Простые упражнения, такие как катание стопы по теннисному мячику или использование ролика для массажа, могут помочь снять напряжение и улучшить гибкость.
-
Правильная обувь: Выбор обуви играет ключевую роль в лечении пяточной шпоры. Обувь с хорошей амортизацией и поддержкой свода стопы может значительно снизить нагрузку на пятку. В домашних условиях можно использовать специальные стельки или ортопедические вставки, которые помогут распределить давление и уменьшить дискомфорт.

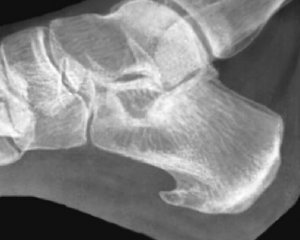
Диагностика
Диагностика заболевания начинается с тщательного сбора информации о предыдущих и сопутствующих недугах, а также с учета жалоб пациента. Обязательным этапом является внешний осмотр стоп, который позволяет выявить аномалии, способствующие возникновению болей в области пятки.
В большинстве случаев для установления диагноза пяточной шпоры требуется использование инструментальных методов исследования. Рентгенография стоп помогает обнаружить наличие костного нароста, его размеры и другие проблемные зоны в стопе.
Если рентгенографические данные недостаточны для подтверждения диагноза, можно прибегнуть к магнитно-резонансной томографии (МРТ). Этот метод позволяет детально рассмотреть не только костную структуру стопы, но и мягкие соединительные ткани, что дает возможность выявить множество проблем на ранних стадиях.
Кроме того, в некоторых случаях для диагностики применяется ультразвуковое исследование, которое является более доступным вариантом по сравнению с МРТ.
Многие люди, столкнувшиеся с пяточной шпорой, ищут способы облегчить боль в домашних условиях. В интернете можно найти множество советов и рекомендаций. Одним из наиболее распространенных методов является использование холодных компрессов, которые помогают уменьшить воспаление и отек. Также многие отмечают эффективность специальных массажей и растяжек для стоп, которые способствуют улучшению кровообращения и снижению мышечного напряжения.
Некоторые предпочитают народные средства, такие как травяные настойки или ванночки с морской солью. Важно также обратить внимание на выбор обуви: ортопедические стельки и удобные туфли могут значительно улучшить состояние. Однако, несмотря на положительные отзывы, рекомендуется проконсультироваться с врачом перед началом лечения, чтобы избежать осложнений и выбрать наиболее подходящий метод.
Лечение пяточной шпоры
Пяточная шпора в силу своих неприятных клинических проявлений требует незамедлительного и эффективного лечения.
Изначально, лечение пяточной шпоры основывается в первую очередь на устранении первопричины развития заболевания. Так, при избыточном весе человека, который увеличивает нагрузки на стопы, он должен озаботиться о снижение собственного веса.
В случае заболевания, которое привело к возникновению этой проблемы, необходимо обращение к специалисту по поводу его излечения. Таким образом, тактика лечения будет напрямую зависеть от причины развития пяточной шпоры.
Конечно, применяется лечение, которое оказывает благоприятное воздействие именно на пяточную шпору. В терапии в большинстве случаев активно применяются медикаментозные препараты с противовоспалительным эффектом. Кроме того, используются болеутоляющие средства в виде таблеток и мазей, что позволяет на некоторое время снять болезненные ощущения.
Еще одним методом излечения этого заболевания является экстракорпоральная ударно-волновая терапия (ЭУВТ), которая позволяет раздробить шпору и к тому же активизирует процессы регенерации.
Больным с пяточной шпорой в обязательном порядке показана физиотерапия, а именно: разнообразные массажи, согревающие растирки, теплые ножные ванные и т. д.
В случае отсутствия эффекта от традиционной терапии проблему возможно вылечить хирургическим методом, что подразумевает
удаление нароста
и измененной ткани. Кроме того, в процессе лечения человек должен озаботиться покупкой специальных стелек для обуви, которые позволят равномерно распределять нагрузку на стопу и будут поддерживать ее в течение всего дня.

Лечение пяточной шпоры в домашних условиях
Помимо традиционного лечения под наблюдением врача, существует возможность проводить терапию пяточной шпоры в домашних условиях. Для этого можно использовать различные народные средства:
-
Горячие ванны с добавками показали хорошие результаты. Прогревание области пяточной шпоры помогает уменьшить воспаление и облегчить болевые ощущения, что значительно улучшает самочувствие. Для приготовления ванночек можно использовать обычную соль и горячую воду. Ноги следует держать в растворе около 30 минут, затем аккуратно вытереть сухим полотенцем и надеть шерстяные носки. Рекомендуется проводить такие процедуры на ночь, чтобы обеспечить длительное тепло для ног.
-
Компрессы из меда и муки также оказывают положительное воздействие. Для их создания нужно смешать одну ложку меда с несколькими ложками муки, чтобы получить небольшую лепешку. Перед применением лепешку следует прикладывать к распаренной пятке. Закрепить компресс можно с помощью бинта, а сверху надеть шерстяной носок. Лучше всего делать такие компрессы на ночь.
-
Настойка на основе алоэ является еще одним эффективным средством для лечения шпоры. Для ее приготовления необходимо мелко нарезать листья алоэ и залить их водкой. Настойку лучше всего делать в емкости с плотной крышкой. Она должна настаиваться в течение 10 дней, после чего ее можно использовать. Настойкой рекомендуется смазывать пятки на ночь, а также делать примочки на несколько часов.
Все перечисленные методы являются эффективными в борьбе с данным заболеванием. Их применение поможет снизить болевые ощущения и поддержать организм в борьбе с воспалительным процессом в области стопы.
Что лучше всего помогает от пяточной шпоры?
Для лечения пяточной шпоры используют йодистый калий, гидрокортизон, новокаин и прочие препараты. Эффективность таких методов физиолечения, как ультразвука и фонофореза (сочетанное применение ультразвука и лекарственного препарата) при пяточных шпорах составляет более 30%.
Чем лечить шпоры на пятках народными средствами?
В народной медицине для борьбы с пяточной шпорой применяется смесь уксуса, сливочного масла и куриного яйца. Эту тщательно смешанную массу наносят в виде компрессов на область пятки, чтобы стимулировать местное кровообращение и обмен веществ, снизить болевые ощущения и ускорить процесс рассасывания костного нароста.
Какая мазь помогает от пяточной шпоры?
Самое лучшее средство от пяточной шпоры (плантарного фасциита). Регулярное использование препарата навсегда избавит от «гвоздя в пятке».
Какие компрессы делать при пяточной шпоре?
Для облегчения состояния можно применять компрессы из листьев лопуха и подорожника, а также мази на основе мумие. Эффективными будут примочки с нашатырным спиртом и скипидаром. Использование специальных подпяточников помогает снизить болевые ощущения при пяточной шпоре, обеспечивая правильное положение стопы и пятки.
Упражнения и физическая активность при пяточной шпоре
Пяточная шпора – это заболевание, которое может вызывать значительный дискомфорт и боль в области пятки. Одним из важных аспектов лечения пяточной шпоры является физическая активность и выполнение специальных упражнений, которые помогают укрепить мышцы стопы и улучшить гибкость. Важно помнить, что перед началом любых упражнений необходимо проконсультироваться с врачом, чтобы избежать ухудшения состояния.
Одним из основных направлений в лечении пяточной шпоры является растяжка мышц и связок, что способствует снижению напряжения в области пятки. Рекомендуется выполнять следующие упражнения:
- Растяжка икроножных мышц: Встаньте лицом к стене, поставьте одну ногу вперед, а другую – назад. Убедитесь, что задняя нога прямая, а пятка прижата к полу. Наклонитесь к стене, удерживая заднюю ногу прямой, и почувствуйте растяжение в икроножной мышце. Удерживайте позицию 15-30 секунд, затем поменяйте ноги.
- Растяжка подошвенной фасции: Сядьте на стул и положите одну ногу на колено другой. Используя руки, потяните пальцы ноги к себе, чтобы почувствовать растяжение в подошве. Удерживайте позицию 15-30 секунд и повторите для другой ноги.
- Упражнение с мячом: Сядьте на стул и положите теннисный мяч под стопу. Катайте мяч вперед и назад, оказывая давление на болезненные участки. Это упражнение помогает расслабить подошвенную фасцию и улучшить кровообращение.
- Подъемы на носки: Встаньте на пол, ноги на ширине плеч. Поднимитесь на носки, задержитесь на несколько секунд, затем медленно опуститесь. Это упражнение укрепляет икроножные мышцы и улучшает поддержку стопы.
Кроме растяжки, важно также уделять внимание общей физической активности. Умеренные физические нагрузки, такие как плавание, езда на велосипеде или ходьба, могут помочь улучшить общее состояние организма и снизить вес, что также положительно сказывается на состоянии стоп.
Однако следует избегать высокоударных видов спорта, таких как бег или прыжки, так как они могут усугубить симптомы пяточной шпоры. Вместо этого выбирайте низкоинтенсивные упражнения, которые не нагружают пятку.
Не забывайте о важности регулярности. Выполняйте упражнения не менее 3-4 раз в неделю, чтобы достичь заметных результатов. Также полезно сочетать физическую активность с другими методами лечения, такими как использование ортопедических стелек, массаж и применение холодных компрессов для уменьшения воспаления.
В заключение, упражнения и физическая активность играют ключевую роль в лечении пяточной шпоры. Правильный подход к физической нагрузке поможет не только облегчить симптомы, но и предотвратить рецидивы заболевания в будущем.
Вопрос-ответ
Для лечения пяточной шпоры используют йодистый калий, гидрокортизон, новокаин и прочие препараты. Эффективность таких методов физиолечения, как ультразвук и фонофорез (сочетанное применение ультразвука и лекарственного препарата) при пяточных шпорах составляет более 30%.
Как вылечить шпору на пятке народным способом?
Народные средства лечения пяточной шпоры. Можно накладывать тампоны, смоченные медицинской желчью, пластинки сала, тертый картофель и черную редьку. Иногда пораженные участки натирают скипидаром или обильно смазывают йодом. Аппликации обычно налагают на ночь, надевая на больную ногу носок.
Гидрокортизоновая мазь, обладающая гормональным действием, снижает местную отечность и интенсивность воспалительного процесса. Для домашнего лечения пяточной шпоры также используют обезболивающие мази противовоспалительного действия: ибупрофен, диклофенак и вольтарен.
Холодные компрессы: применение холодных компрессов на больной пятке может помочь снизить воспаление и болезненность. Оберните лед в ткань и приложите к пятке в течение 15-20 минут несколько раз в день.
Советы
СОВЕТ №1
Используйте холодные компрессы. Прикладывание льда к пораженной области на 15-20 минут несколько раз в день поможет уменьшить отек и облегчить боль. Оберните лед в ткань, чтобы избежать обморожения кожи.
СОВЕТ №2
Регулярно выполняйте упражнения для растяжки. Упражнения, направленные на растяжение икроножных мышц и подошвенной фасции, могут помочь снизить напряжение в области пятки. Попробуйте, например, стоять на краю ступеньки и медленно опускать пятки вниз.
СОВЕТ №3
Обратите внимание на обувь. Носите удобную обувь с хорошей поддержкой свода и амортизацией. Избегайте высоких каблуков и плоской обуви, так как они могут усугубить симптомы пяточной шпоры.
СОВЕТ №4
Попробуйте использовать ортопедические стельки. Специальные стельки могут помочь распределить нагрузку на стопу и уменьшить давление на пятку, что способствует снижению болевых ощущений.

