Гранулема на корне зуба — воспалительное образование, способное вызвать серьезные стоматологические проблемы при отсутствии своевременной диагностики и лечения. В статье рассмотрим причины возникновения гранулемы, ее симптомы и современные методы лечения, включая консервативные и хирургические подходы. Также будут представлены фотографии, иллюстрирующие это заболевание и необходимые меры для его устранения. Информация будет полезна пациентам и стоматологам для повышения осведомленности о патологии.
Причины зубной гранулемы
Гранулема представляет собой осложнение, возникающее на фоне пульпита или кариеса, и ее появление связано с несколькими факторами:
- невыявленный и не пролеченный пульпит, вызванный инфекционным процессом воспаленного нерва в корневой части зуба.
- запущенный кариес и воспаление в тканях, окружающих зуб, известное как периодонтит.
- перелом зуба, который привел к инфекционному процессу внутри него.
- инфицирование, вызванное недостаточной антисептикой и асептикой во время удаления пульпы или лечения корневых каналов.
Гранулема на корне зуба является довольно распространенной проблемой, и стоматологи единодушны в своем мнении: своевременное лечение имеет критическое значение. Врачи подчеркивают, что гранулема представляет собой воспалительное образование, способное вызвать серьезные осложнения, если его не устранить. На ранних стадиях заболевания пациенты могут не ощущать дискомфорта, однако с прогрессированием воспалительного процесса могут появляться боли и отеки.
Специалисты рекомендуют проводить диагностику с использованием рентгенографии, что позволяет точно определить размеры и расположение гранулемы. Лечение может включать как консервативные методы, такие как медикаментозная терапия, так и хирургические вмешательства — удаление гранулемы и лечение корневых каналов. Важно помнить, что игнорирование данной проблемы может привести к потере зуба и распространению инфекции. Врачи акцентируют внимание на том, что регулярные осмотры у стоматолога помогут предотвратить развитие гранулемы и сохранить здоровье зубов.
Гранулема на корне зуба является распространенной проблемой, требующей внимательного подхода к лечению. Эксперты отмечают, что данное заболевание часто возникает в результате хронического воспаления, вызванного инфекцией или травмой. Важно своевременно обратиться к стоматологу, так как игнорирование симптомов может привести к серьезным осложнениям, включая потерю зуба.
Лечение гранулемы обычно включает в себя эндодонтическое вмешательство, которое позволяет удалить инфицированную ткань и сохранить зуб. В некоторых случаях может потребоваться хирургическое вмешательство для удаления гранулемы. Специалисты подчеркивают, что ранняя диагностика и адекватное лечение значительно повышают шансы на успешный исход. Также стоит отметить, что регулярные профилактические осмотры у стоматолога помогают предотвратить развитие подобных заболеваний.

Механизм образования
Капсула гранулемы прорывается при любом сбое иммунной системы. Это приводит к оголению корней зубов, потере фиксации зуба и воспалению десен.
- На первом этапе запущенные стоматологические заболевания привели к появлению огромного количества микробов в пульпе зуба. В ней начинается воспаление, что приводит ее к гибели.
- На втором этапе вследствие размножения микробов происходит инфицирование костной ткани.
- На третьем этапе происходит образование соединительной ткани при отступании кости от очага инфекции. Образуется капсула из соединительной ткани, внутри которой идет борьба с микробами. Это и есть гранулема.
Провоцирующие факторы к развитию острой зубной гранулемы и ее проявлениям связаны со стрессовыми ситуациями, переохлаждением и перенесенной простудой, резкой сменой климата и физическим перенапряжением.
| Стадия гранулемы | Методы лечения | Фото примеры (ссылка на изображения)* |
|---|---|---|
| Начальная (периодонтит) | Консервативное лечение: чистка корневых каналов, пломбирование, медикаментозная терапия. | Ссылка на фото 1 |
| Развитая (гранулема) | Хирургическое лечение: резекция верхушки корня, цистэктомия, ампутация корня. | Ссылка на фото 2 |
| Запущенная (киста) | Хирургическое лечение: цистэктомия, гемисекция, удаление зуба. | Ссылка на фото 3 |
Интересные факты
Вот несколько интересных фактов о гранулеме на корне зуба и ее лечении:
-
Причины возникновения: Гранулема на корне зуба обычно возникает в результате хронического воспаления, вызванного инфекцией, которая проникает в корневой канал зуба. Это может произойти из-за глубоких кариозных процессов, травм зуба или неудачных стоматологических процедур.
-
Симптомы и диагностика: Гранулема может долгое время не проявлять себя, и пациенты могут не ощущать боли. Однако при обострении воспалительного процесса могут возникнуть такие симптомы, как боль, отек десны и даже повышение температуры. Для диагностики часто используются рентгенографические исследования, которые позволяют визуализировать гранулему и оценить состояние окружающих тканей.
-
Методы лечения: Лечение гранулемы на корне зуба может включать эндодонтическое лечение (лечение корневых каналов), которое направлено на удаление инфекции и восстановление зуба. В некоторых случаях может потребоваться хирургическое вмешательство, например, апикальная резекция, если консервативные методы неэффективны. Важно также отметить, что своевременное лечение гранулемы может предотвратить более серьезные осложнения, такие как абсцесс или потеря зуба.

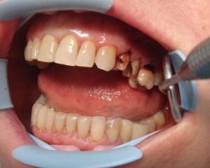
Симптомы гранулемы на корне зуба и фото
Долгое время гранулема зуба может протекать незаметно, не вызывая явных симптомов, что создает риск для здоровья человека и усложняет процесс диагностики. Небольшая гранулема в запущенном состоянии часто становится причиной серьезных осложнений.
Грануляционная ткань активно разрастается, заменяя погибшие клетки, возникшие в результате воспалительного процесса. В связи с этим гранулема постоянно увеличивается в размерах.
Когда гранулема достигает значительных размеров, она становится заметной как для пациента, так и для стоматолога. Чаще всего ее обнаруживают на рентгеновских снимках и ортопантомограммах, когда пациент обращается к врачу по следующим причинам:
- появление отека десны;
- интенсивная зубная боль;
- потемнение зубов;
- возникновение флюса или флегмоны (одонтогенного периостита);
- выделения гноя из пространства между десной и зубом, сопровождающиеся высокой температурой, недомоганием и головной болью;
- распространение гноя из флегмоны в мышцы лица и шеи. В запущенных случаях инфекция может достигнуть области сердца, что может привести к летальному исходу;
- образование челюстной кисты с образованием плотной капсулы, содержащей некротические массы и погибшие бактерии.
Гранулема на корне зуба представляет собой воспалительное образование, которое может возникнуть в результате инфекции или травмы. Многие пациенты отмечают, что это состояние часто сопровождается болевыми ощущениями и дискомфортом. Лечение гранулемы обычно включает эндодонтические процедуры, такие как корневое лечение, которое помогает устранить инфекцию и сохранить зуб. В некоторых случаях может потребоваться хирургическое вмешательство. Люди делятся своими впечатлениями о процессе лечения: кто-то считает, что процедура была менее болезненной, чем ожидалось, а другие подчеркивают важность своевременного обращения к стоматологу. Фотографии гранулемы на корне зуба, доступные в интернете, помогают лучше понять, как выглядит это заболевание и какие меры следует предпринять для его лечения. Важно помнить, что ранняя диагностика и лечение могут предотвратить более серьезные осложнения.
Что будет, если не лечить?
К осложнениям гранулемы на корне зуба относятся:
- разрушение верхушки корня зуба;
- потеря зуба;
- флегмона и ограниченный гнойник – околочелюстной абсцесс;
- остеомиелит челюсти при гнойном процессе ткани кости;
- при распространении инфекции – гайморит, пиелонефрит, инфекционный миокардит и сепсис;
- при переходе инфекции в гайморовую пазуху и далее в переднюю ямку черепа – менингит, энцефалит, воспаление периферических нервов и пр.

Лечение гранулемы зуба
Подозрения на наличие гранулемы возникают лишь при появлении болей, отеков десен, флюсов и гнойных выделений. Для уточнения диагноза применяются рентгенография и радиовизиография.
Сохранить зуб возможно только при своевременном лечении гранулемы, что случается довольно редко. Лечение гранулемы на корне зуба осуществляется как терапевтическими, так и хирургическими методами, в сочетании с использованием лечебных трав, которые уже прочно интегрированы в официальную стоматологию.
Метод лечения зависит от размеров зубной гранулемы, состояния зубной ткани и наличия осложнений. Также учитывается план имплантации или протезирования, который существует у пациента.
Хирургическое лечение гранулемы
При хирургическом лечении:
- удаляют зуб;
- выполняют резекцию верхушки корня;
- выполняют гемисекцию зуба;
- при однотогенном периостите или околочелюстном абсцессе – проводят вскрытие и дренирование.
В сложных случаях врачу приходится вскрывать десну и выпускать гной посредством дренажа в течение 1-2 дней. При этом принимают антибиотики, антисептики, препараты для обезболивания и полоскания полости рта лечебными травами, например, аптечным Ромазуланом, разведенным в воде (0,5 ч. л. на 1 ст.).
Аптечной настойкой чистотела (30%) в смеси с маслом растительным или глицерином (1:1) увлажняют ватные тампоны и прикладывают к проблемному месту дважды в день.
При цистэктомии
или резекции верхушки корня зуба – зуб вскрывают, прочищают канал и заполняют специальным раствором. Гранулему и инфицированную верхушку корня удаляют, заменяя удаленную ткань искусственной, затем зуб пломбируют.
В результате гемисекции
: удаляют корень зуба и прилегающую к нему коронковую часть, что выполняется на многокорневых зубах. Назначают гемисекцию, если нет возможности для сохранения весь корень или один из корней зуба. Гранулема полностью удаляется с пораженным корнем и частью зуба над ним. Затем на зуб ставят коронку. Следят за состоянием зуба после гемисекции с помощью рентгенологического контроля.
Удаляют зуб
при поздней стадии развитии гранулемы, периодонтите с формированием десневого кармана, в случае вертикальной трещины корня, непроходимости каналов корней, множественных перфораций корня, выраженных разрушений зуба;
Консервативное лечение гранулемы
При консервативном лечении:
- заполняют пространство гранулемы пломбировочным материалом через корневой канал;
- устраняют инфекцию с помощью антибиотиков, сульфаниламидов и лечебных трав.
Во время пломбирования зуба его открывают, очищают каналы и обеспечивают отток гноя из гранулемы. Каналы промывают специальными растворами и вводят в них лекарственные препараты.
Зуб временно закрывают пломбой, чтобы через несколько дней провести повторную обработку каналов другими антибактериальными средствами. После этого зуб пломбируют и восстанавливают. В качестве антибиотиков применяются Амоксициллин, Азитромицин, Амоксиклав, Ципрофлоксацин и Доксициклин. Полоскание рта осуществляется антисептическими и антибактериальными настоями из цветков ромашки, листьев шалфея или эвкалипта — по 1 ст. л. на стакан кипятка, дважды в день после еды.
Настойки:
корень аира (30 г) и прополис (30 г) заливают водкой (по 0,5 л). Настаивают в темном месте в течение двух недель, затем фильтруют. Для полоскания рта разбавляют настойку корня аира — 1 ч. л. на 1 ст. воды и настойку прополиса — 2 ч. л.
Профилактика
Чтобы не допустить развитие гранулемы на корне зуба, рекомендуется придерживаться следующих правил:
- 1) Необходимо проходить регулярные профилактические осмотры.
- 2) Своевременно обращаться к врачу при любых патологиях в полости рта и зубочелюстной системе, включая кровоточивость десен.
- 3) Соблюдать гигиену полости рта, проводить замену щеток для зубов.
- 4) Использовать лечебные зубные пасты.
- 5) При кровотечениях десен использовать отвары лечебных трав (ромашки, календулы, чистотела, коры дубовой, зверобоя и пр.) для полоскания полости рта.
- 6) Включать в меню блюда с содержанием кальция и большого количества витаминов.
Как лечить гранулему на корне зуба?
Для ликвидации патогенных микроорганизмов ткани обрабатываются раствором антибиотика. Хирургическое вмешательство включает в себя апикоэктомию – удаление верхушки корня зуба. Стоматолог делает разрез десны, открывая доступ к альвеолярному отростку, после чего иссекает гранулему и удаляет апикальную часть корня зуба.
Как убирают гранулемы?
Зубную коронку рассверливают, удаляют старую пломбу, обеспечивают доступ к корневым каналам. Врач проводит санацию каналов зуба антисептическим составом и накладывает временную пломбу. Иногда проводится лечение гранулемы лазером, то есть каналы дезинфицируют лазерным лучом.
Что будет, если не удалить зуб с гранулемой?
Осложнения зубной гранулемы Неправильное или несвоевременное лечение может негативно отразиться на здоровье зубов и привести к ряду осложнений, таким как флюс — воспаление в области надкостницы, остеомиелит челюсти — воспалительный процесс в челюстной кости, а также киста зуба — значительное воспалительное образование.
Сколько можно ходить с гранулемой?
Если образование больше 3 мм, то каналы корня пломбируются временной пастой. Она помогает гранулеме уменьшиться или исчезнуть полностью. Ходить с временным материалом придется не больше 3 недель.
Прогноз после лечения гранулемы
Прогноз после лечения гранулемы на корне зуба зависит от нескольких факторов, включая степень развития заболевания, общее состояние здоровья пациента и выбранный метод лечения. В большинстве случаев, при своевременном обращении к стоматологу и правильном подходе к терапии, прогноз является благоприятным.
Если гранулема была диагностирована на ранней стадии, то лечение может быть менее инвазивным и более эффективным. В таких случаях возможно применение консервативных методов, таких как эндодонтическое лечение, которое включает в себя удаление воспаленной ткани и пломбирование корневых каналов. При этом важно, чтобы пациент строго следовал рекомендациям врача и проходил регулярные контрольные осмотры.
При более запущенных формах гранулемы, когда происходит значительное разрушение тканей зуба или окружающих структур, может потребоваться более сложное лечение. В таких случаях возможно применение хирургических методов, таких как резекция верхушки корня зуба или даже удаление зуба. Однако даже в этих ситуациях, при соблюдении всех рекомендаций врача и адекватной реабилитации, прогноз может быть положительным.
Важно отметить, что после успешного лечения гранулемы, пациенту необходимо продолжать следить за состоянием своего ротовой полости. Регулярные профилактические осмотры у стоматолога, соблюдение гигиенических норм и здоровый образ жизни помогут избежать повторного возникновения проблемы. В некоторых случаях может потребоваться дополнительное лечение, например, установка коронки на зуб, который подвергался лечению, для восстановления его функциональности и эстетики.
Таким образом, при своевременном обращении за медицинской помощью и соблюдении всех рекомендаций врача, прогноз после лечения гранулемы на корне зуба в большинстве случаев является положительным, что позволяет сохранить зуб и избежать серьезных осложнений.
Вопрос-ответ
Что будет, если не убрать гранулему?
Если не провести своевременное лечение гранулемы зуба, может развиться периапикальная киста или абсцесс. Это может привести к разрушению корней и потере зубной единицы, травмированию костных перегородок соседних зубов, перелому кости альвеолярного гребня.
Чем опасна гранулема на корне зуба?
Чем опасна прогрессирующая гранулема зуба? Появление гранулемы свидетельствует о наличии воспаления у верхушки корня. Если в результате начинает отделяться гнойное содержимое, то осложнение может привести к образованию кисты, абсцессу десны, разлитому гнойному поражению челюсти (флегмоне), остеомиелиту.
Советы
СОВЕТ №1
Обязательно обращайтесь к стоматологу при первых признаках гранулемы, таких как боль или отек. Раннее выявление проблемы поможет избежать серьезных осложнений и упростит лечение.
СОВЕТ №2
Следите за гигиеной полости рта. Регулярная чистка зубов и использование зубной нити помогут предотвратить развитие инфекций и гранулем, а также поддержат здоровье десен.
СОВЕТ №3
Не игнорируйте рекомендации врача после лечения гранулемы. Соблюдайте назначенные процедуры и принимайте лекарства, чтобы ускорить процесс заживления и предотвратить рецидив.
СОВЕТ №4
Обсуждайте с врачом возможные методы лечения, включая консервативные и хирургические варианты. Понимание всех доступных опций поможет вам сделать осознанный выбор и выбрать наиболее подходящее лечение.

