Энцефалопатия головного мозга — это группа заболеваний, нарушающих функции мозга и вызывающих неврологические симптомы и изменения в поведении. Это состояние может возникнуть по разным причинам, включая токсические воздействия, инфекции и метаболические нарушения. В статье рассмотрим основные симптомы энцефалопатии, методы диагностики и лечения, что поможет читателям распознать проблему и обратиться за медицинской помощью.
Классификация
Как развивается энцефалопатия и что она собой представляет? Существует два основных типа этой патологии. В зависимости от времени возникновения и причин, энцефалопатия делится на врожденную и приобретенную.
Врожденная энцефалопатия формируется в процессе внутриутробного развития плода, начиная с 28-й недели беременности.
Приобретенная энцефалопатия возникает как результат перенесенных инфекций или органических повреждений мозга, проявляясь после рождения. Она классифицируется в зависимости от факторов, способствующих ее развитию:
- Дисциркуляторная (сосудистая) энцефалопатия.
- Посттравматическая энцефалопатия, возникающая вследствие травм головы.
- Токсическая энцефалопатия, связанная с воздействием нейротоксинов.
- Лучевая энцефалопатия, развивающаяся под влиянием ионизирующего излучения.
- Гипертензивная энцефалопатия – заболевание клеток головного мозга, прогрессирующее из-за повышенного артериального давления и сопровождающееся неврологическими нарушениями.
- Энцефалопатия Вернике, возникающая из-за нехватки тиамина, с поражением таламуса и среднего мозга.
- Энцефалопатия Хашимото – редкий нейроэндокринный синдром.
- Подкорковая атеросклеротическая энцефалопатия, характеризующаяся атрофией белого вещества головного мозга и имеющая различные причины.
- Острая печеночная энцефалопатия, также известная как синдром Рея, проявляющаяся у детей и подростков на фоне повышения температуры, при использовании препаратов с ацетилсалициловой кислотой.
- Трансмиссивная спонгиоформная энцефалопатия – дистрофическая патология коры головного мозга.
Специалисты отмечают, что энцефалопатия головного мозга представляет собой серьезное заболевание, которое может проявляться разнообразными симптомами, такими как головные боли, проблемы с памятью, изменения в поведении и когнитивные расстройства. Эти симптомы могут существенно ухудшить качество жизни пациента и требуют внимательного подхода к диагностике и лечению. Врачи подчеркивают важность раннего выявления заболевания, что позволяет начать терапию на ранних стадиях. Лечение обычно включает медикаментозную терапию, направленную на устранение причин заболевания, а также реабилитационные мероприятия для восстановления функций мозга. Рекомендуется комплексный подход, включающий изменения в образе жизни, диету и физическую активность, что может значительно улучшить состояние пациентов и замедлить прогрессирование болезни.
Эксперты в области неврологии подчеркивают, что энцефалопатия головного мозга может проявляться разнообразными симптомами, включая головные боли, нарушения памяти, изменения в поведении и когнитивные расстройства. Эти проявления часто зависят от причины заболевания, будь то токсическое воздействие, инфекция или метаболические нарушения. Важно отметить, что ранняя диагностика и комплексный подход к лечению играют ключевую роль в улучшении состояния пациента. Лечение может включать медикаментозную терапию, направленную на устранение первопричины, а также реабилитационные мероприятия, способствующие восстановлению функций мозга. Специалисты рекомендуют регулярные обследования и мониторинг состояния для предотвращения прогрессирования заболевания.

Причины энцефалопатии
Имеется целый ряд причин, вызывающих энцефалопатию головного мозга. Среди самых распространенных можно выделить:
- атеросклероз сосудов;
- травмы головного мозга;
- аномалии мозговых структур врожденного характера;
- гипертоническую болезнь;
- хроническую интоксикацию алкоголем и другими токсичными веществами;
- внутриутробную инфекцию;
- функциональную почечную и печеночную недостаточность;
- сахарный диабет;
- недостаточность витаминов;
- повышенное внутричерепное давление;
- длительный кислородный дефицит головного мозга;
- плохое кровоснабжение;
- патологические роды и беременность;
- нарушение нейроэндокринного обмена.
| Симптом | Возможная причина энцефалопатии | Лечение |
|---|---|---|
| Изменения в психическом статусе (спутанность сознания, дезориентация, потеря памяти) | Инфекции (менингит, энцефалит), травмы головы, инсульт, опухоли головного мозга, недостаточность кровообращения, отравление, метаболические нарушения | Лечение основной причины, симптоматическая терапия (например, коррекция электролитного баланса, медикаментозная поддержка дыхания) |
| Изменения в двигательной активности (слабость, ригидность, тремор, атетоз) | Инсульт, травмы головы, опухоли головного мозга, дегенеративные заболевания (болезнь Паркинсона, болезнь Альцгеймера), метаболические нарушения | Физиотерапия, медикаментозная терапия (например, противопаркинсонические препараты) |
| Изменения речи (дизартрия, афазия) | Инсульт, травмы головы, опухоли головного мозга, дегенеративные заболевания | Логопедическая реабилитация |
| Изменения зрения (снижение остроты зрения, диплопия) | Инсульт, опухоли головного мозга, повышение внутричерепного давления | Лечение основной причины, коррекция зрения |
| Изменения слуха (снижение слуха, шум в ушах) | Инсульт, опухоли головного мозга, повышение внутричерепного давления | Лечение основной причины, слуховые аппараты |
| Головная боль | Повышение внутричерепного давления, инфекции, опухоли головного мозга | Анализы, МРТ, КТ, лечение основной причины, анальгетики |
| Судороги | Эпилепсия, инфекции, травмы головы, опухоли головного мозга, метаболические нарушения | Противосудорожные препараты |
| Кома | Тяжелые травмы головы, инсульт, кровоизлияние в мозг, отравление | Поддерживающая терапия, лечение основной причины |
Интересные факты
Вот несколько интересных фактов о энцефалопатии головного мозга:
-
Разнообразие причин: Энцефалопатия может быть вызвана множеством факторов, включая токсические воздействия (например, алкоголь или наркотики), инфекции (такие как вирусный гепатит), метаболические нарушения (например, диабетическая кома) и даже травмы головы. Это делает диагностику и лечение сложными, так как необходимо учитывать первопричину заболевания.
-
Симптоматика: Симптомы энцефалопатии могут варьироваться от легких когнитивных нарушений и изменений настроения до серьезных неврологических расстройств, таких как потеря сознания или кома. В некоторых случаях пациенты могут испытывать “мозговой туман”, что затрудняет концентрацию и выполнение повседневных задач.
-
Лечение и восстановление: Лечение энцефалопатии зависит от ее причины. Например, при токсической энцефалопатии может потребоваться детоксикация, а при инфекционной — антибиотики или противовирусные препараты. В некоторых случаях может быть необходима реабилитация для восстановления когнитивных функций. Интересно, что ранняя диагностика и лечение могут значительно улучшить прогноз и качество жизни пациента.

Симптомы энцефалопатии головного мозга
У взрослых энцефалопатия может проявляться разнообразными симптомами. Клиническая картина напрямую зависит от типа энцефалопатии и степени повреждения тканей головного мозга.
На ранних стадиях заболевания можно заметить первые признаки. К ним относятся нарушения сна и координации движений (атаксия), вялость и быстрая утомляемость, а также ухудшение памяти.
Наиболее распространенные симптомы:
- шум в ушах и головокружение;
- постоянные головные боли;
- подавленное настроение;
- проблемы с мышлением;
- судороги;
- депрессивные состояния (см. симптомы и лечение депрессии);
- нарушения речи;
- сужение интересов;
- эмоциональная нестабильность.
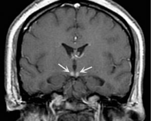
В частности, дисциркуляторная энцефалопатия проявляется головокружением, проблемами с памятью и речью, а также быстрой утомляемостью. Диагноз устанавливается на основе наличия этих симптомов в течение длительного времени (более 6 месяцев).
Энцефалопатия Вернике
– это заболевание, которое чаще всего возникает при хроническом алкоголизме, но также может развиваться на фоне злокачественных опухолей, длительной рвоты, голодания или СПИДа. Основные симптомы включают страх и тревогу, двигательное возбуждение, галлюцинации – это предвестники делирия. Физическое истощение сопровождается повышением температуры, учащенным сердцебиением и аритмией. В течение нескольких дней состояние оглушенности может прогрессировать до ступора и комы.
Среди разнообразных симптомов энцефалопатии
Хашимото
выделяются: нарушения памяти и речи, головные боли, частичные параличи, генерализованные и миоклонические судороги. В некоторых случаях может развиться слабоумие.
Для
подкорковой
атеросклеротической энцефалопатии характерны потеря памяти и снижение интеллектуальных способностей. Обычно болезнь развивается в возрасте 55-65 лет и сопровождается колебаниями артериального давления. При прогрессировании заболевания наблюдается ухудшение памяти и координации движений, что делает невозможным самостоятельное существование пациента.
Печеночная
энцефалопатия может развиваться в течение недели после начала вирусного заболевания. Основные симптомы включают сильную рвоту и тошноту, угнетение функции печени и изменения психического состояния. У маленьких детей могут возникать судороги и нарушения дыхания. Без своевременного вмешательства состояние может ухудшиться, что приведет к остановке дыхания.
При
токсической
энцефалопатии происходит диффузная атрофия мозговых тканей. На начальных этапах заболевания наблюдаются беспокойство, агрессия, галлюцинации и судороги. Эти симптомы могут сменяться вялостью, адинамией и эйфорией, при этом угнетаются рефлексы и нарушается сознание. Параллельно развиваются психические расстройства, гипоталамический и эпилептический синдромы. При вовлечении в процесс спинного мозга могут возникать нарушения работы органов таза.
Энцефалопатия головного мозга вызывает много обсуждений как среди пациентов, так и среди специалистов. Люди часто делятся своими переживаниями о таких симптомах, как головные боли, проблемы с памятью и изменения настроения. Многие отмечают, что эти проявления могут существенно ухудшить качество жизни. Важно, что ранняя диагностика и лечение играют решающую роль в управлении заболеванием. Некоторые пациенты делятся положительным опытом лечения, включая медикаментозную терапию и реабилитацию. Однако не все знают, что изменения в образе жизни, такие как правильное питание и физическая активность, также могут значительно повлиять на состояние. Обсуждения на форумах и в социальных сетях помогают людям находить поддержку и обмениваться полезной информацией о том, как справляться с этой сложной проблемой.
Лечение энцефалопатии головного мозга
Энцефалопатия лечится длительно. С учетом тяжести заболевания, возраста пациента и сопутствующих болезней назначают амбулаторное или стационарное лечение, что проводится курсами.
Любая форма энцефалопатии требует комплексного подхода и сочетания нескольких методов лечения. Это обстоятельство позволяет остановить или затормозить развитие симптомов.
Рекомендуется:
- медикаментозная терапия;
- мануальная терапия;
- иглоукалывание;
- лечебная физкультура;
- биорезонансная стимуляция;
- оперативное вмешательство;
- инфракрасная лазерная терапия.
Основные направления медикаментозной терапии при энцефалопатии включают в себя:
- 1) Лечение главной болезни, что спровоцировала развитие энцефалопатии;
- 2) Улучшение обменных процессов в головном мозге (пирацетам, ноотропил, церебролизин, аминалон);
- 3) Терапию неврологических симптомов;
- 4) Коррекцию когнитивных нарушений
- 5) Улучшение кровоснабжения мозга посредством применения антагонистов кальция, препаратов с альфа-адреноблокирующим эффектом.
Оперативное вмешательство применяется ограничено и используется при черепно-мозговых травмах, а также при энцефалопатии опухолевого происхождения. То есть тогда, когда риск от хирургического вмешательства ниже, чем от отказа от него.
Медикаментозные и немедикаментозные методы имеют достаточно большой арсенал, но применяемые препараты только стимулируют деятельность нормальных клеток, а не реконструируют поврежденные нейроны.
Для восстановления потерянных функций мозга современная медицина рекомендует инновационную терапию стволовыми клетками. Эти клетки при попадании в организм запускают процессы регенерации тканей. В результате нейроны и все мозговые функции головного мозга возобновляются. Нормализуется психика и умственные способности, улучшается сон.
Таким образом, лечение энцефалопатии должно быть всесторонним. Для предотвращения развития осложнений возможности фармакотерапии нужно использовать по максимуму.
Ведь правильное, патогенетически обусловленное лечение позволяет значительно повысить качество жизни людей, страдающих энцефалопатией.

Как ведет себя человек при энцефалопатии?
Отличается внезапным психомоторным возбуждением, сопровождающимся сильной головной болью, тошнотой, рвотой, нарушениями зрения и неустойчивой походкой. В случае острого течения энцефалопатии у некоторых людей наблюдается онемение языка, рук и стоп. Также могут проявляться психические расстройства.
Как вылечить энцефалопатию головного мозга?
Дисциркуляторную энцефалопатию нельзя вылечить. Это хроническое заболевание, связанное с отмиранием множества мелких участков головного мозга.
Что нельзя делать при энцефалопатии?
Коррекция образа жизни при энцефалопатии Необходимо сократить потребление продуктов с высоким содержанием холестерина, таких как печень, красное мясо и яичные желтки. Если человек продолжает трудиться, следует избегать чрезмерных физических и умственных нагрузок, а также работы в условиях вредного производства.
Прогноз и возможные осложнения
Прогноз при энцефалопатии головного мозга зависит от множества факторов, включая причину заболевания, степень повреждения тканей мозга, а также своевременность и адекватность лечения. Важно отметить, что некоторые формы энцефалопатии могут быть обратимыми, особенно если они вызваны временными факторами, такими как интоксикация или инфекция. В таких случаях, при устранении причины, возможно полное восстановление функций мозга.
Однако в случаях, когда энцефалопатия вызвана хроническими заболеваниями, такими как гипертония, диабет или алкогольная зависимость, прогноз может быть менее благоприятным. Хронические формы энцефалопатии часто приводят к необратимым изменениям в мозге, что может вызвать прогрессирующие неврологические нарушения, такие как когнитивные расстройства, проблемы с памятью и изменениями в поведении.
Осложнения, возникающие при энцефалопатии, могут варьироваться в зависимости от ее типа и тяжести. Одним из наиболее серьезных осложнений является развитие судорог, которые могут привести к эпилепсии. Также возможны нарушения координации движений, что может увеличить риск падений и травм. В некоторых случаях пациенты могут столкнуться с психическими расстройствами, такими как депрессия или тревожные расстройства, что также требует внимания и лечения.
Кроме того, энцефалопатия может привести к развитию вторичных заболеваний, таких как инсульт, который может возникнуть на фоне нарушенного кровообращения в мозге. Это подчеркивает важность ранней диагностики и лечения, чтобы минимизировать риск серьезных осложнений.
В заключение, прогноз при энцефалопатии головного мозга может варьироваться от полного выздоровления до серьезных и необратимых изменений. Поэтому крайне важно проводить регулярные медицинские осмотры и следить за состоянием здоровья, особенно если у пациента есть факторы риска, способствующие развитию данного заболевания.
Вопрос-ответ
Как ведет себя человек с энцефалопатией?
Симптомы энцефалопатии. Нейропсихологические расстройства: снижение интеллектуальных возможностей, трудности в концентрации внимания, подавленность настроения, эмоциональная расторможенность. Двигательные расстройства: замедление походки, укорочение шага, нарушение речи.
Можно ли полностью восстановиться после энцефалопатии?
Правильно выстроенное лечение энцефалопатии позволяет полностью восстановить кровообращение и функционал головного мозга. При этом наблюдаются такие эффекты, как снимается синдром головных болей и головокружение.
Советы
СОВЕТ №1
Обратите внимание на ранние симптомы. Если вы или ваши близкие замечаете изменения в поведении, памяти или когнитивных функциях, не откладывайте визит к врачу. Ранняя диагностика может значительно улучшить прогноз лечения.
СОВЕТ №2
Следите за своим образом жизни. Здоровое питание, регулярные физические нагрузки и отказ от вредных привычек могут помочь снизить риск развития энцефалопатии. Включите в рацион продукты, богатые антиоксидантами и омега-3 жирными кислотами.
СОВЕТ №3
Не игнорируйте рекомендации врача. Если вам поставили диагноз энцефалопатия, строго следуйте назначенному лечению и регулярно проходите контрольные обследования. Это поможет отслеживать динамику заболевания и корректировать терапию при необходимости.
СОВЕТ №4
Обсуждайте свои переживания и эмоции. Заболевания головного мозга могут вызывать не только физические, но и психологические проблемы. Общение с близкими или профессионалами поможет справиться с эмоциональным стрессом и улучшить качество жизни.

